많은 분들이 협착증이라는 병은 척추가 노화되고 퇴행돼서 신경 구멍이 좁아져서 생기는 병이라고 알고 있습니다. 그런데 반은 맞고 반은 틀린 이야기입니다. 척추가 늙을 때는 근육도 같이 늙고 줄어듭니다. 그래서 80세가 되면 젊었을 때 근육의 반 밖에 남지 않습니다. 그래서 근육이 허리를 잘 지지해주지 못하니까 신경이 눌려서 협착증이 생기는 것입니다. 이와 같은 이유로 협착증 치료에 있어서 근육재활치료가 중요합니다. 이에 대해 더욱 자세히 설명 드리겠습니다.
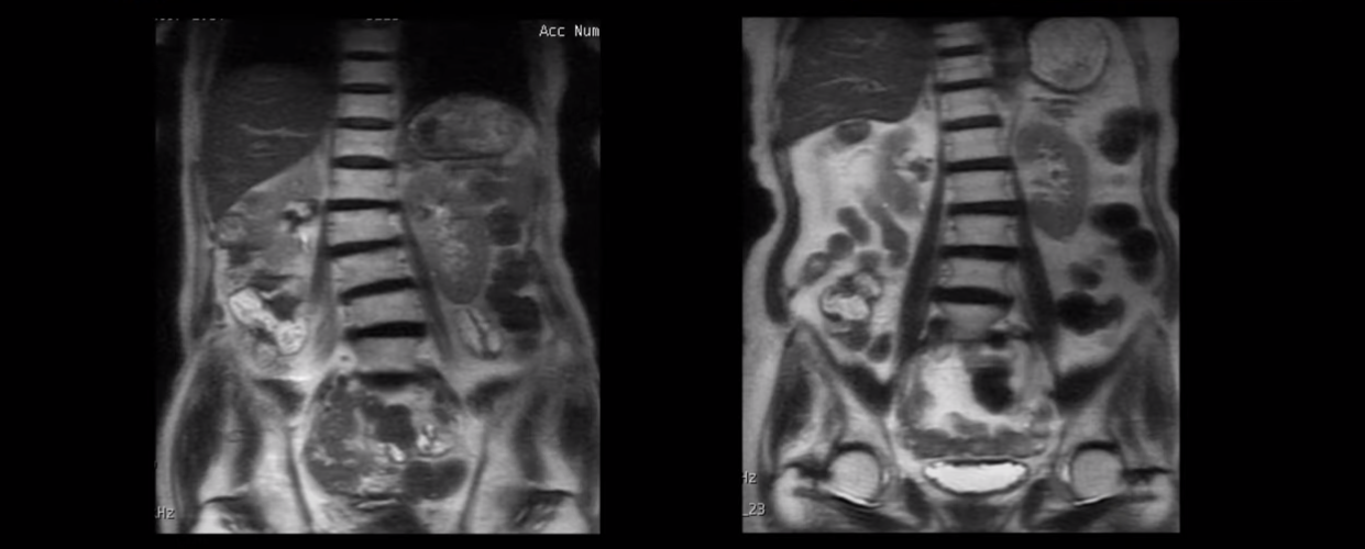
근육이 늙는다는 건 나이가 들면서 근육이 줄어들며 약해지고, 또 이런 근육 상태로 일을 하고 운동을 하니까 결국 근육이 망가지고 뭉치고 뒤틀린다는 걸 말합니다. 그래서 70대 이상 협착증 환자를 척추를 보면 척추가 반듯한 분이 단 한 명도 없습니다.
전부 다 척추가 틀어지고 심하게 휘어져있습니다. 허리 주변 근육이 다 뒤틀려있다는 얘기입니다.

보시다시피 근육도 많이 줄어들어 심하게 작아져 있습니다. 이게 바로 근육에 심한 문제가 있다는 증거입니다.
이렇듯 협착증의 원인은 척추와 근육 모두에게 있기 때문에 협착증은 신경만 치료하는 게 아니라 반드시 근육도 같이 치료해줘야 합니다. 그런데도 신경 구멍이 좁아진 게 문제라고 생각해서 신경주사만 계속 맞고, 주사를 맞다가 효과가 없으면 신경 구멍을 뚫어주는 수술만 받고 있는 분들이 많습니다. 망가진 근육의 재활치료가 반드시 필요합니다. 근육재활치료를 통해 근육이 좋아져서 허리를 잘 지지해주면 신경이 훨씬 덜 눌리게 됩니다.
그리고 신경주사도 심하지 않은 협착증일 때는 효과가 있겠지만, 시간이 지날수록 신경주사 효과는 점점 더 떨어집니다. 왜냐하면 시간이 갈수록 근육은 더 줄어들고 문제가 심해지고, 그러면 허리를 더 잘 지지해주지 못하니까 신경이 더 눌리기 때문입니다. 그리고 신경주사는 신경 구멍을 넓혀주는 치료도 아니고, 그렇다고 근육의 상태를 좋게 만들어주지도 못합니다. 그냥 신경이 자극돼서 생긴 염증을 줄여주는 용도일 뿐입니다. 즉 협착증의 본질적인 치료가 되지 못하는 것입니다. 그리고 신경주사는 무한정 계속 맞을 수 있는 성격의 주사가 아닙니다. 지속, 반복적으로 많이 맞으면 여러 가지 부작용이 있고 뼈나 인대, 힘줄 등을 약하게 만들 수 있기 때문에 주의하셔야 합니다.
그렇다면 협착증 근육재활치료는 어떻게 할까요? 저희 모커리한방병원에서 하는 협착증 근육재활치료는 한방, 양방을 통합하여 근육에 관련된 할 수 있는 거의 모든 치료를 다 합니다. 침, 약침, 봉침, 이완추나, 근육의 피로를 풀어주는 한약, 도수치료, 물리치료, 운동치료까지 여러 가지 치료방법을 총동원하여 환자를 입원시켜서 눕혀놓고 하루에도 4번 이상 허리, 골반, 엉덩이, 다리 근육을 치료하고 쉬고 치료하고 쉬고 치료하고 쉬고를 반복하는 겁니다. 이런 집중적이고 반복적이며 체계적인 근육치료를 저희는 모커리 ABCDE 협착증 근육재활치료법이라고 부릅니다.
이런 협착증 근육재활치료에 대해 아직도 못 믿으시겠다면, 저희가 세계적인 미국 유명 대학병원과 공동으로 진행한 임상시험 연구를 통해 발표한 국제의학논문과 저희가 매주 올리고 있는 수많은 협착증 환자분들의 치료후기들을 보시길 바랍니다.
마지막으로 근육이 좋아지려고 운동하시는 협착증 환자분들도 많은데, 협착증에 좋은 운동을 하셔야 합니다. 저희가 만들어놓은 누워서 하는 협착증 네 가지 운동과 집 안에서 아프지 않을 만큼만 짧게 걷는 운동을 해주시는 게 좋습니다. 협착증 환자는 절대 근력운동을 하시면 안 됩니다. 근력운동을 통해서는 절대 근육이 좋아질 수 없습니다. 이에 대한 더욱 자세한 내용은 아래 영상을 보시길 바랍니다.
모커리 척추관협착증 ABCDE 한·양방 협진 재활치료법은 수술 없이 협착증을 치료하는 모커리 고유의 비수술 치료방법입니다. 한쪽 다리의 통증만 있는 초기 협착증부터 다리에 힘이 빠지고 몇 걸음 걷지 못하는 말기 협착증까지 ABCDE 척추관협착증 비수술 치료법으로 치료하고 있습니다. 모커리는 수준 높은 임상연구를 통하여 말기 협착증 환자가 ABCDE 재활치료로 통증 없이 걷는 거리가 11배 증가했다는 것을 과학적으로 객관적으로 증명하여 국제학술지에 논문을 발표했습니다.

보다 많은 환자분들과 건강정보를 공유하고자 개방형 게시판으로 건강상담을 운영하고 있습니다. 목과 허리 통증•디스크•협착증•교통사고•어깨•무릎 등 궁금하신 질문을 남겨주시면 전문의가 최대한 자세하게 답변 드립니다.