우리 몸의 중심을 잡고 체중의 대부분을 지탱해주는 척추는 나이가 들수록 퇴행되어 기능이 약해지게 됩니다. 이에 대표적인 척추질환이 퇴행성 척추관협착증입니다. 척추관협착증은 척추를 둘러싸고 있는 근육과 인대가 퇴행 되어 제 기능을 하지 못하게 되면서 척추관 내 인대가 비정상적으로 부풀어 올라 척추관의 공간이 줄어들게 되어 통증이 발생하는 질환입니다. 이러한 퇴행성 척추관협착증은 50, 60대 이상에서 발병률이 높은 질환으로 이를 방치할 경우 통증이 극심하여 거의 걷지 못하게 될 수도 있으므로 의심되는 증상이 나타난다면 초기에 치료시기를 놓치지 않는 것이 좋습니다.


척추관협착증 초기증상은 일반적으로 많이 알고 있는 협착증 증상(걸을 때 다리가 저리는 증상)과는 조금 다른 증상이 나타나기 때문에 협착증 초기 상태임을 인지하지 못하는 경우가 많습니다.
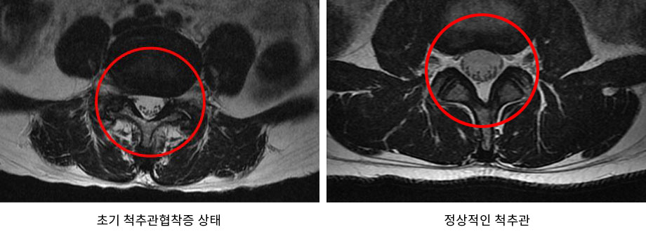
초기라고 하면 대부분의 사람들은 그다지 심각하게 받아들이지 않는 경향이 있습니다. 하지만 척추협착증은 초기라도 할지라도 허리디스크보다 퇴행이 심한 상태이므로 서둘러 치료를 받는 것이 좋습니다. 척추협착증 초기증상은 일반적으로 많이 알고 있는 협착증 증상인 걸을 때 다리가 저리는 증상과는 조금 차이가 있습니다. 그렇기 때문에 환자 본인이 협착증 초기 상태임을 인지하지 못하는 경우가 많습니다. 척추협착증 초기에는 오후가 되면 다리가 뻐근하고 나무토막처럼 굳어지는 증상이 나타나거나 아침에 일어났을 때 근육이 뻣뻣해지는 조조강직감이 발생합니다. 따라서 이러한 증상들이 있다면 척추협착증 초기증상을 의심해보는 것이 좋습니다.
일반적으로 척추관협착증 초기에 치료를 시작한다면, 특히 퇴행이 극심하지 않은 초기에 치료를 시작할 경우 아침에 일어났을 때 뻣뻣했던 증상이나 오후가 되면 뻐근했던 다리 통증은 거의 없는 단계까지 회복이 될 가능성이 있습니다. 그러나 초기 협착증일 때 적절한 치료를 시작하지 않고 방치하게 되면 시간이 지날수록 중증 척추관협착증으로 진행될 가능성이 높아집니다. 중증 척추관협착증으로 진행이 되면 실제 걸을 때 통증이 발생하며 걷는 거리가 점점 짧아지게 됩니다. 또한 중증 척추관협착증은 치료 자체는 잘 된다고 하더라도 치료의 결과는 초기와 비교했을 때 다소 떨어질 수밖에 없습니다. 즉, 척추관협착증은 척추의 퇴행 정도와 증상의 정도에 따라 치료의 결과가 달라지므로 초기일 때 치료를 서둘러 시작하는 것이 매우 중요합니다. 간혹, 증상은 심하지 않으나 퇴행이 극심한 경우가 있습니다. 이런 경우 한번 증상이 발생하게 되면 급속도로 악화될 수 있기 때문에 MRI 검사와 임상증상을 꼼꼼하게 비교해봐야 합니다. 이는 증상만 초기라고 말할 수 있을 뿐 실제 척추관협착증 초기라고 보기는 어렵습니다. 이런 경우 증상이 심하지 않을 때 치료를 시작하면 증상이 악화된 후 치료를 시작했을 때보다 치료효과가 좋습니다.
간혹 척추관협착증 초기면 그리 심하지 않은 상태라고 생각하여 간단한 시술로 해결할 수 있지 않을까 생각하는 분들이 있습니다. 여기서 말하는 시술은 스테로이드 치료를 의미합니다. 스테로이드는 우리 몸의 복구체계인 면역체계를 강제로 중단하여 염증을 억지로 제거하는 기전을 가진 약물이기 때문에 염증성 통증을 빠르게 줄일 수 있습니다. 이에 따라 염증성 통증의 성격이 강한 허리디스크에는 상당한 호전 효과를 기대할 수 있습니다. 그러나 척추관협착증은 염증성 통증의 성격보다는 압박성 통증의 성격이 강하기 때문에 허리디스크에 비해 스테로이드 시술의 효과가 많이 떨어지게 됩니다. 특히 퇴행이 심하면 심할수록 스테로이드의 효과가 거의 나타나지 않거나 지속시간이 짧아질 수밖에 없습니다.
또한 스테로이드는 우리 몸의 면역체계를 강제로 중단하게 되면 면역체계가 정상적으로 작동되지않아 이 과정에서 세포의 재생, 이동, 활성 등을 기능이 떨어지게 됩니다. 그 결과 관절과 근육, 인대, 힘줄 등의 척추 구조물이 약해지게 됩니다. 이러한 이유로 반복적이고 지속적인 스테로이드 주사의 사용은 매우 신중하게 사용해야 합니다. 의학 교과서적으로는 6개월~1년 동안 스테로이드 주사를 3회 이상 맞지 않는 것이 좋다고 설명이 되어 있습니다.

척추관협착증은 어느 날 갑자기 발생하는 병이 아닙니다. 짧게는 수년, 길게는 수십 년에 걸쳐 나타나는 질환입니다. 오랜 기간 동안 허리에 안 좋은 생활습관과 자세 등이 축적되어 나타난 결과이기 때문에 단기간의 치료로 증상이 하루아침에 좋아지기는 힘듭니다. 따라서 척추관협착증 초기 치료를 받아 통증이 완화되었다고 해도 꾸준한 생활관리가 동반되어야 치료 후 일정 시간이 지나도 재발을 방지할 수 있습니다. 따라서 척추관협착증 환자는 내 몸에 맞는 생활습관과 스트레칭 운동법 등을 배우고 익혀 치료 후에도 꾸준히 실천해주는 것이 중요합니다.
척추관협착증의 주 증상은 걸을 때 다리가 저리고 아픈 것이다 보니 앉아있을 때 통증을 잘 못 느끼는 경향이 있습니다. 그로 인해 오래 앉아 있는 사람들이 많습니다. 하지만 오래 앉아 있는 자세는 허리 주변의 근육과 인대를 경직시키고 피로를 쌓이게 하므로 가능한 피해주시는 것이 좋습니다. 또 많은 환자분들이 운동을 통해 통증을 극복하려고 하나 무리한 운동은 오히려 허리를 망가뜨릴 수 있습니다. 척추관협착증 환자에게 좋은 운동은 가벼운 걷기입니다. 걷기는 통증이 발생하지 않는 한도 내에서 짧게, 자주 걸어주는 것이 좋습니다. 특히 걷기 운동은 허리에 무리를 주지 않으면서 밖으로 나가지 않더라도 집 안에서 할 수 있기 때문에 언제든지 할 수 있는 운동이므로 시간 날 때마다 틈틈이 해주시는 것이 좋습니다.
척추관협착증에 좋은 운동 보러 가기 > 척추관협착증에 걷기 운동 보러 가기 >모커리 척추관협착증 ABCDE 한·양방 협진 재활치료법은 수술 없이 협착증을 치료하는 모커리 고유의 비수술 치료방법입니다. 한쪽 다리의 통증만 있는 초기 협착증부터 다리에 힘이 빠지고 몇 걸음 걷지 못하는 말기 협착증까지 ABCDE 척추관협착증 비수술 치료법으로 치료하고 있습니다. 모커리는 수준 높은 임상연구를 통하여 말기 협착증 환자가 ABCDE 재활치료로 통증 없이 걷는 거리가 11배 증가했다는 것을 과학적으로 객관적으로 증명하여 국제학술지에 논문을 발표했습니다.

모커리한방병원의 이완추나는 미국 메이요클리닉과 공동연구를 통해 ‘중증 척추관협착증 환자가 한방치료 후 통증 없이 걸을 수 있는 보행거리가 11배 이상 증가하였다’는 한방치료 효과에 대한 논문을 발표하였습니다. 이미 국제 유명 의학학술지(Journal of Pain Research)에 게재된 만큼 한방치료 효과의 유효성과 안전성을 입증하였습니다. 그뿐만 아니라 모커리 이완추나는 척추뼈가 50% 밀려난 전방전위증 환자, 디스크 파열이 심한 환자, 척추유합술 후 재발된 환자 등 고난도 척추질환에 적용 가능합니다.
논문 내용 자세히 보러가기 >
척추관협착증 비수술 재활치료후기, 심한 협착증으로 다리가 가늘어지고 걷지 못하는 환자
척추관협착증 비수술 재활치료후기, 세 마디의 심한 협착, 세 번의 수술을 권유 받은 환자
척추관협착증이 수술 없이도 치료 가능한 5가지 이유
협착증 환자가 반드시 매일 꼭 해야 되는 4가지 운동
척추관협착증 임상시험과 7년의 연구를 통해 밝혀진 재활치료 효과 국제학술지 논문 발표
척추관협착증에 재활치료를 꼭 받아야 하는 이유
척추관협착증 환자가 꼭 알아야 할 12가지
척추협착증 한방치료 효과를 못 믿으신다구요? 이 내용을 보시면 믿게 됩니다.
협착증 한방치료로 신경압박이 풀리는 눈에 보이는 증거가 있습니다.
척추전방전위증을 동반한 척추협착증, 수술 없이 치료하는 방법
척추관협착증의 진행을 막는 8가지 방법
허리디스크, 척추관협착증 MRI만 보고 진단하면 안 되는 이유
허리협착증이 아니라 디스크라구요
척추관협착증 한방치료비용과 실손보험 잘 이용하는 법
척추관협착증 환자가 치료 여부에 상관없이 운동은 무조건 해야하는 이유
더보기 >
보다 많은 환자분들과 건강정보를 공유하고자 개방형 게시판으로 건강상담을 운영하고 있습니다. 목과 허리 통증•디스크•협착증•교통사고•어깨•무릎 등 궁금하신 질문을 남겨주시면 전문의가 최대한 자세하게 답변 드립니다.
| 제목 | |||||||||
|---|---|---|---|---|---|---|---|---|---|
|
|||||||||
|
|||||||||
|
|||||||||
|
|||||||||