보건복지부지정
keyboard_tab
예약신청
- -
   [개인정보처리방침]

예약이 접수되면 상담원이 전화를 드려
예약을 확인해드립니다.

상담신청
- -
   [개인정보처리방침]

상담이 접수되면 전문 상담원이
직접 전화로 답변 드립니다.

척추클리닉

척추관협착증
척추관협착증이란
척추관협착증 증상
척추협착증증상 초기/중기/말기
척추관협착증 초기증상 및 치료
척추관협착증 치료방법
척추협착증 한방치료 효과를 못 믿으신다구요? 이 내용을 보시면 믿게 됩니다.
척추협착증 말기 증상의 비수술 입원집중치료법
척추관협착증 수술
퇴행성척추관협착증을 일으키는 원인 3가지
퇴행성척추관협착증 수술 없이 치료가 되는 이유
척추협착증 말기 중증 환자가 입원치료를 받아야 되는 4가지 이유
협착증에 스테로이드 시술 효과가 떨어지는 이유
협착증 치료효과 논문
척추관협착증 환자가 꼭 알아야 할 12가지
협착증은 치료를 받든 안 받든 운동은 무조건 해야 한다
척추관협착증에 좋은 운동
척추관협착증에 좋은 운동 4가지
척추협착증에 좋은 운동- 걷기 운동법
척추관협착증 걷기 운동에 대해 꼭 알아야 할 8가지
척추협착증 운동, 걷기 운동을 잘못 하고 있는 환자들이 많습니다 - 걷기 운동 제대로 하는 법
허리협착증에좋은운동 5가지와 초기협착증
척추협착증 허리, 다리 근력 운동 1편
척추협착증운동-거꾸리운동
척추관협착증 반드시 피해야 할 4가지 운동
협착증에 맥켄지 운동 하면 안 되는 이유
허리협착증증세
허리협착증이 아니라 디스크라구요
허리디스크협착증
척추협착증 비수술치료 원리
척추협착증치료 후 허리펴짐
척추협착증 MRI와 임상증상
척추협착증 생활수칙 10가지
척추협착증 허리디스크 차이점
척추협착증수술 후 인접분절질환
척추협착증수술 부작용-척추수술실패증후군
척추협착증 한방치료 비용, 비싸다는 오해
협착증 치료, 이런 분들일수록 치료 효과가 훨씬 좋다
협착증이 아닌 디스크 환자가 협착증으로 오해하는 경우가 많이 늘고 있다
협착증 한방치료로 신경압박이 풀리는 눈에 보이는 증거가 있습니다
척추협착증 한방치료비용과 실손보험 잘 이용하는 법
허리디스크, 척추관협착증 MRI만 보고 진단하면 안 되는 이유
척추협착증 치료, 이런 논문을 못 믿으시면 뭘 믿고 치료를 받으시겠습니까?
척추협착증의 진행을 막는 8가지 방법
허리협착증의 진행을 막는 8가지 방법 중 자세히 1편 - 증상 변화에 세심한 관심을 가져야 한다.
허리협착증의 진행을 막는 8가지 방법 중 자세히 2편 - 증상이 악화됐다면 원인을 찾아야 한다.
추간공협착증이 진짜 척추관협착증보다 치료가 더 쉬운 이유
척추전방전위증을 동반한 척추협착증, 수술 없이 치료하는 방법
척추협착증 치료받을 때 뭘 믿고 치료 받으시나요?
허리디스크와 협착증이 같이 있다구요? 척추관협착증이 아닐 가능성이 매우 높습니다.
척추관이 좁아져 협착이 있어도 증상이 없는 사람이 많은 이유
척추협착증 치료 잘하는 곳 고르는 방법 5가지
척추협착증과 근감소증은 매우 밀접한 관계가 있습니다.
허리에 좋은 음식, 허리디스크·협착증에 좋은 음식 찾으신다구요? 이 음식을 꼭 섭취해야 합니다.
척추협착증, 퇴행성디스크, 척추전방전위증, 허리통증에 재활치료를 꼭 받아야 하는 이유
척추협착증운동, 눌린 신경을 풀어주는 누워서 하는 5가지 운동
척추협착증인데 한쪽 다리만 심하게 아프다구요? 협착증 증상이 아닐 수 있습니다.
허리협착증에 좋은 운동, 공 스트레칭 3가지
척추협착증 환자에게 좋은 뭉친 등 근육을 풀어주는 운동
척추관협착증과 허리디스크, 아침이 제일 아픈 이유와 해결 방법
협착증치료, 지난 20년간 협착증의 한방치료는 엄청난 발전을 이룩했다
척추협착증원인 2가지, 제대로 알아야 비수술치료가 가능한 이유를 알 수 있다.
허리협착증운동, 매일 반드시 해야 하는 이유와 5가지 운동
척추협착증 수술 없이도 치료가 가능한 이유 5가지
허리협착증치료 효과, 임상시험과 7년의 연구를 통해 밝혀진 재활치료 효과와 국제학술지 논문 발표
척추관협착증이 수술 없이 좋아질 수 있는 이유
허리협착증증세 완화에 도움 되는 4가지 운동, 4주간 꾸준히 하면 증상이 완화됩니다.
척추협착증운동 – 둔근(엉덩이 근육) 공 스트레칭
척추관협착증 증상 완화에 좋은 공운동 – 요방형근
목디스크
목디스크란
목디스크 환자가
꼭 알아야 할 10가지
목디스크 초기증상 및 치료
목디스크 초기증상 및 자연치유
목디스크증상
목디스크파열
목디스크 파열 환자가 꼭 알아야 할 힘빠짐과 마비 증상, 체크하는 법
목디스크두통
목디스크자가진단(스펄링테스트)
목디스크자가진단(어깨외전테스트)
목디스크 치료방법
목디스크치료방법 - 목디스크에 신경주사만 계속 맞으신다고요?
목디스크치료방법, 한방에서 목디스크를 치료하는 방법과 증상이 좋아지는 원리
목디스크치료가 허리디스크치료
보다 더 쉽고 빠른 이유
목디스크 운동에 대해 꼭 알아야 할 5가지
목디스크에 좋은 운동
목디스크 운동 1. 도리도리 운동
목디스크 운동 2. 으쓱으쓱 운동
목디스크 운동 3.
짧아진 목 앞쪽 근육 늘리는 운동
목디스크 운동에 대해
꼭 알아야 할 8가지
목디스크운동 절대로
하지 말아야 할 3가지
목디스크병원 잘 고르는 법
목디스크, 목통증의 유일한 원인
목디스크 약화시키는 생활습관
목디스크 수면자세
목디스크 치료해도 낫지 않는 이유
목디스크운동 이거 하나로 끝낸다. 도리도리 운동 질문편
목디스크, 거북목, 일자목 목통증 환자의 통증을 유발하는 수면 자세와 교정법
목디스크증상, 목 주변의 뭉친 근육만 풀어줘도 증상이 좋아지는 이유와 목 근육 풀기 운동
이런 목디스크 환자는 금방 좋아질 가능성이 높습니다
목통증
목통증이란
경추통증 원인과 치료법
목과어깨통증
목통증 환자가 꼭 알아야 할 9가지
목근육통증
목근육통 치료해도 잘 안 낫는다면? 두 가지 가능성이 있습니다.
목통증과 두통 즉시
가라앉히는 스트레칭
목통증 치료에 가성비 정말 좋은 침 치료
목통증에 좋은 운동 3가지
잘 낫지 않는 만성 목통증, 근막통증증후군에 좋은 봉침치료법
뒷목통증에 대해 꼭 알아야 할 7가지
목에 담 걸렸을 때 혼자서 할 수 있는 목담 푸는 법 1편
목에 담 걸렸을 때 혼자서 할 수 있는 목담 푸는 법 2편
뒷목통증, 승모근 어깨통증, 근막통증증후군 치료해도 계속 재발하는 이유와 해결 방법
목통증이 허리통증보다 치료는 물론 관리나 운동이 훨씬 쉬운 이유는?
목통증, 목디스크 환자가 거북목자세 교정 하는 법
근막통증증후군에 대해 꼭 알아야 할 5가지
일자목/거북목
일자목
일자목교정과 관계없이 일자목통증은 치료할 수 있습니다.
일자목통증을 빠르게 해결 할 3가지 방법
일자목에 좋은 운동
거북목
거북목증후군 환자가
꼭 알아야 할 10가지
거북목교정에 대해 꼭 알아야 할
사실 3가지와 스트레칭법
거북목스트레칭
거북목자가진단
거북목베개, 일자목베개
고르는 법과 사용법
거북목교정 한 달 프로젝트
거북목교정, 일자목교정의 기본 중의 기본운동 1편 - 치맥 운동의 이론과 실전편
거북목교정, 일자목교정의 기본 중의 기본운동 2편- 거북목, 일자목 교정을 위한 마사지와 스트레칭법
거북목교정운동, 거북목스트레칭을 해도 거북목이 잘 교정되지 않는 이유
거북목교정운동, 거북목스트레칭 이거 하나로 끝낸다!
척수증
척수증
경추척수증 환자가 꼭 알아야 할 척수증 치료의 특징과 한방치료법
경추척수증, 목디스크로
오해하기 쉬운 척추질환
Myelopathy(경추척수증)에
대해 꼭 알아야 할 7가지
경추척수증 환자의 비수술 재활치료 후기, 젓가락질과 단추 끼우기가 어렵고 걸으면 발을 헛딛는 환자
경추척수증 환자의 비수술 재활치료 후기, 양손 마비와 보행 시 균형을 못 잡고 비틀거리는 환자
목디스크 파열과 경추척수증 근육 재활치료 후기, 신경주사 맞아도 계속 아픈 환자
경추척수증 환자 4명의 비수술 근육신경재활치료후기, 척수증에 꼭 수술만이 정답은 아닙니다.
경추관협착증
경추관협착증
허리디스크
허리디스크란
허리디스크 환자가 꼭 알아야 할 12가지
허리디스크 환자가 꼭 알아야 할 10가지
허리디스크 환자 살 빼는 법
허리디스크 증상
허리디스크자가진단(SLR테스트)
허리디스크 검사
허리디스크 통증, 하지방사통
허리디스크 초기증상 및 치료
허리디스크 초기증상 자연치유
허리디스크 자연치유 - 이론편
허리디스크파열 자연치유 - 실전편 1. 믿음갖기
허리디스크파열 자연치유 - 실전편 2. 회복기간 및 회복패턴 알기
서울 한방척추전문병원이 알려주는 허리디스크수술 신중히 결정해야 하는 이유
허리디스크 파열
허리디스크 파열 흡수되는 이유
허리디스크 파열 한방치료로 어떻게 좋아질까요?
허리디스크병원에서 알려주는 허리디스크 파열 시 힘빠짐과 마비 증상, 체크하는 법
허리디스크파열 됐을 때 한의사들은 수술 안 받나요
허리디스크 앉는 자세
허리디스크치료 한약 효과
허리디스크 운동 이야기 지금까지의 운동은 다 버려라
허리디스크에 좋은 운동
허리강화운동 10가지(디스크 급성기•회복기)
허리디스크운동 절대로 하지 말아야 할 3가지
허리디스크 운동, 수없이 많은 질문에 대한 답변
허리디스크 운동에 대해 잘못 알고 있는 이야기 - 허리디스크 급성기에 통증을 줄여주는 운동은 없다
허리디스크 생활습관
허리디스크 의자, 허리에 좋은 의자 고르는 법
허리디스크 치료해도 낫지 않는 이유
허리디스크 수술을 꼭 해야 하는 경우
퇴행성허리디스크 스테로이드 주사, 시술의 뜻밖의 부작용
허리디스크 악화시키는 생활습관
추간판탈출증 환자, 새우잠이 안 좋은 이유
추간판탈출증 무중력의자
추간판탈출증 재발 막는 방법, 요요를 조심해라
추간판탈출증 운동 1.스케이트 운동
추간판탈출증 운동 2.데스크 플랭크 운동
추간판탈출증 운동 3.허리 도리도리 운동
추간판탈출증 운동 4.걷기 운동
추간판탈출증 운동 5.허리 돌리기 운동
추간판탈출증 운동 6.골반 운동
추간판탈출증 운동 7.고관절•무릎 운동
추간판탈출증 운동 8.맨몸스쿼트 운동
추간판탈출증 운동 9.계단 오르기 운동
추간판탈출증 운동 10.모커리 슈퍼맨 운동
퇴행성허리디스크와 허리디스크탈출의 차이점
허리디스크, 척추관협착증 MRI만 보고 진단하면 안 되는 이유
허리디스크치료 - 허리디스크에 신경주사만 계속 맞으신다고요?
허리디스크 급성기에 운동으로 통증을 줄일 수 없는 이유와 운동을 해야 하는 시기
허리디스크 치료 받아도 잘 낫지 않는 이유 4가지
허리에 좋은 음식, 허리디스크·협착증에 좋은 음식 찾으신다구요? 이 음식을 꼭 섭취해야 합니다
추간판탈출증, 협착증 주사나 시술 후에도 심하게 아플 때 사람들이 많이 하는 3가지와 문제점
허리디스크치료, 근육을 꼭 치료해야 하는 이유
허리디스크치료가 끝난 후 자가관리 방법
허리디스크파열 회복 단계와 단계별 운동법
허리디스크는 어떻게 척추협착증으로 진행될까? 전조증상과 진행을 막는 방법
허리신경주사 꼭 맞아야 할 이유와 많이 맞으면 안 되는 이유
허리디스크 운동 불변의 법칙, 이 법칙을 따르지 않으면 여러분의 허리는 나빠집니다
허리디스크 허리통증 환자는 일반 스쿼트가 아닌 와이드 스쿼트를 해야 한다
자고 일어나면 아침에 통증이 극심한 허리디스크 환자가 매일 꼭 해야 하는 4가지 운동
허리디스크 협착증 신전운동에 대한 바른 이해
허리디스크가 오랫동안 낫지 않는 사람들의 이유와 해결 방법
허리디스크보존치료 오래해도 안 낫는 사람들, 도대체 무엇이 문제인가? 해결 방법은?
허리통증
허리통증이란
허리통증원인
급성허리통증
급성요추염좌
허리근육통
허리삐끗했을때
허리삐끗했을때 꼭 알아야 할 내용-허리가 삐는 것은 발목이 삐는 것과는 성격이 많이 다르다
갑자기 허리통증이 발생한 원인과 치료법
갑자기 허리통증 발생했을 때 꼭 알아야 할 7가지
디스크내장증
허리통증, 요통 치료 받아도 낫지 않는 이유 6가지
허리통증, 허리디스크 환자가 새우잠을 자면 안 되는 이유와 피하는 방법 3가지
만성요통(만성허리통증) 치료 받아도 잘 안 낫는 이유
만성요통(만성허리통증) 환자가 꼭 알아야 할 5가지
만성허리통증 환자가 반드시 조조강직감 증상 여부를 체크해야하는 이유
요통환자 10계명
허리아플때운동 1. 맥켄지 운동
허리아플때운동 2. 장요근 공 스트레칭
허리아플때운동 3. 둔근 공 스트레칭
허리아플때운동 4. 요방형근 공 스트레칭
허리아플때운동, 무조건 해야 되는 3가지
만성요통에 좋은 봉침치료법, 봉침이 효과를 발휘하는 이유
허리통증운동 1편 - 허리통증에 좋은 허리 앞쪽 근육 스트레칭
허리통증운동 2편 – 세상에서 가장 쉬운 엉덩이운동
허리통증운동 3편 - 엉덩이 근육을 강화하면서 고관절을 풀어주는 스트레칭
허리통증 환자가 매일 꼭 해야 하는 허리통증운동, 장요근 풀라공 운동
왼쪽허리통증, 오른쪽허리통증을 일으키는 4개의 근육 찾는 법과 운동법
좌골신경통
좌골신경통(허리디스크, 척추관협착증으로 인한 하지통증)
좌골신경통(근육으로 인한 하지방사통)
근육성좌골신경통, MRI상 원인을 찾을 수 없는 근육성 좌골신경통의 특징과 치료법
좌골신경통, 다리저림, MRI로도 알 수 없는 원인, 뭐가 문제고 어떻게 해결해야 되나?
MRI로 알 수 없는 양쪽 다리저림, 24시간 양쪽 발저림, 엉덩이 통증, 좌골신경통 환자의 근육재활치료 사례
신경주사를 맞아도 계속 아픈 허리통증, 엉덩이통증, 좌골신경통, 반드시 근육 문제를 의심해봐야 합니다.
근육 문제로 인한 좌골신경통, 다리저림, 양쪽 발저림, 엉덩이통증이 아주 많습니다. 치료방법은?
근육성 좌골신경통 재활 치료후기, 양쪽다리가 마비될 정도로 아프고 걷지 못하는 환자분
좌골신경통 비수술 치료후기, 앉으면 즉시 허리 엉덩이통증 누워도 양쪽다리가 심하게 저리는 환자분
척추분리증
척추분리증이란
척추분리증 환자가 꼭 알아야 할 7가지
척추분리증 운동
척추전방전위증
척추전방전위증이란
척추전방전위증 환자가 꼭 알아야 할 10가지
척추전방전위증에 대한 오해와 진실 5가지
척추전방전위증 운동
요추전방전위증, 척추분리증에 좋은 운동-데스크 플랭크 운동
척추전방전위증 치료
척추전방전위증이 수술 없이도 치료되는 이유 4가지
척추전방전위증 환자들이 가장 많이 묻는 질문 10문 10답
척추유합술 후 재발치료
척추유합술 후 재발치료
척추협착증수술(척추유합술) 후 인접분절질환
척추협착증수술 부작용-척추수술실패증후군
척추 운동법
목디스크에 좋은 운동
일자목에 좋은 운동
허리디스크에 좋은 운동
허리통증에 좋은 공운동법
척추관협착증에 좋은 운동
척추분리증에 좋은 운동
척추전방전위증에 좋은 운동
섬유근육통
섬유근육통치료에 쓰는 항경련제, 항우울제와 한방치료의 효과
섬유근육통 진단에 대해 꼭 알아야 할 7가지
섬유근육통증상과 진단의 중요성
섬유근육통은 아픈 곳을 직접 치료해야 좋아집니다.
수술 후 통증·재활
근위경골절골술, 줄기세포치료 후 한·양방 협진 재활치료
무릎인공관절수술 후 재활치료
서울재활병원 강남 모커리한방병원에서 알려드리는 무릎인공관절수술 후 꼭 해야 하는 무릎재활운동
척추수술 후 통증치료
척추수술 후 재활치료
척추유합술 후 통증, 척추수술 후 통증증후군에 좋은 재활치료
협착증 수술 후 남아 있는 다리저림, 왜 반드시 재활치료 해야 할까요?
척추수술 후 통증증후군, 허리디스크 파열 척추유합술 후 새로 생긴 방사통과 마비 근육재활치료
근육파열
엉덩이 근육파열과 고관절 통증에, 특별한 방법이 없으니 집에서 쉬라고만 들은 환자의 재활치료 사례
디스크 내장증
이상근증후군, 디스크내장증 진단? MRI는 심하지 않다는데 50, 60대 여성 중 앉아도 걸어도 누워도 허리 엉덩이 다리까지 아픈 환자들 치료방법
디스크내장증 의심환자 4명의 비수술 허리기능재활치료 이야기- 디스크내장증은 디스크의 문제가 아니라 신경주사로 호전되지 않으며 반드시 허리기능재활치료를 받아야 합니다.
디스크내장증은 잘못된 진단명입니다- 디스크가 아픈 게 아니고 섬유륜 파열도 아닙니다. 진짜 통증의 원인은?
디스크내장증 근육성방사통 허리기능재활치료후기- 허리, 엉덩이, 양쪽 다리통증과 저림, 아파서 앉을 수 없는 환자분
디스크내장증 근육성방사통 허리기능재활치료후기-앉아도 걸어도 누워도 아프고 24시간 양쪽 다리저림, 발저림이 있는 환자분
디스크내장증 진단을 받았다면 반드시 알아야 할 10가지
디스크내장증 근육성방사통 허리기능재활치료후기- MRI 와 일치하지 않는 양쪽 발저림 증상과 앉기만 하면 엉덩이와 허리가 아파 디스크내장증 진단을 받은 환자분

척추협착증 비수술치료로 허리가 펴질까?

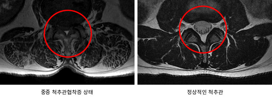
■ 허리가 굽는 척추협착증이란?

나이가 들면 우리의 몸도 같이 나이가 들게 됩니다. 우리 몸을 지탱해주는 척추 또한 나이를 먹으면서 퇴행되어 기능이 떨어지고, 약해지게 됩니다. 이러한 퇴행으로 인해 발생하는 대표적인 척추질환이 척추협착증입니다. 척추협착증은 척추를 둘러싸고 있는 근육과 인대가 퇴행되어 제 기능을 하지 못하게 되면서 척추관 내 황색인대가 비정상적으로 부풀어 오르게 됩니다. 척추관 내 황색인대가 부풀어 오름에 따라 척추관의 공간이 줄어들게 되면서 신경을 압박하게 되는데, 그로 인해 통증이 발생하는 질환입니다.

척추관 내 황색인대가 부풀어 오르는 이유는 우리 몸을 지탱하기 위해서입니다. 퇴행이 진행되면 척추를 비롯하여 척추 주변의 근육과 인대, 디스크 등도 퇴행이 되면서 기능이 떨어지고, 약해지게 됩니다. 척추를 지탱하는 근육과 인대, 디스크 등의 구조물들이 약해지게 되면 우리 몸은 어떻게든지 이를 지탱하기 위해 노력을 하게 되는데, 이 과정에서 황색인대의 몸집이 굵어지고, 단단해지면서 척추관을 좁아지게 만듭니다.

■ 척추협착증 환자들의 허리가 굽는 이유

척추관협착증 환자들을 살펴보면 대부분 허리가 굽어 있는 경우가 많습니다. 이처럼 척추관협착증 환자들의 대부분이 허리가 굽어 있는 이유는 통증 때문입니다. 척추관협착증은 허리를 숙이면 좁아져 있던 척추관이 일시적으로 넓어지게 되면서 통증이 완화되는 것을 느낄 수 있습니다. 그래서 척추협착증 환자분들은 본인도 모르게 허리를 숙여 통증이 줄어드는 자세를 취하는 것입니다. 이에 가장 대표적인 예가 꼬부랑 할머니입니다. 과거에는 척추관협착증을 꼬부랑병이라고 부르기도 했습니다.

■ 척추협착증 비수술치료 받으면 굽은허리가 어떻게 펴지나요?

척추협착증이 허리를 굽게 만드는 질환이라고 생각하는 분들이 있습니다. 하지만 척추협착증은 허리를 굽게 만드는 질환이 아닙니다. 환자분들이 허리가 굽어 있는 이유는 앞서 설명했듯이 허리를 숙이면 통증이 완화되기 때문에 자연스럽게 허리를 숙이는 것뿐입니다. 하지만 누구도 허리를 숙이고 있는 것이 편한 사람은 없습니다. 허리를 숙이는 구부정한 자세를 취해야만 통증이 완화되기 때문에 어쩔 수 없이 구부정하게 다니는 것뿐입니다. 따라서 척추관협착증으로 인해 굽어진 허리는 척추관협착증을 치료하여 통증이 완화되면 허리를 숙일 필요가 없어지므로 자연스럽게 허리를 펴게 됩니다.

■ 척추협착증 치료의 핵심은 척추 주변의 근육과 인대의 기능을 최대한으로 끌어올려주는 것이다.

척추관협착증 치료의 핵심은 약해진 근육과 인대의 기능을 최대한으로 끌어올려 통증이 줄거나 없는 날들이 더 오래 유지되도록 도움을 주는 것입니다. 척추협착증 환자들은 매일매일의 통증이 다 같은 강도로 나타나는 것은 아닙니다. 아무리 심한 척추협착증 환자라도 1년 365일 같은 통증을 호소하지는 않습니다. 척추협착증 환자는 그날의 날씨, 수면의 질, 기분 등 다양한 요인에 따라 통증이 심하게 나타나는 날이 있고, 덜한 날들이 있습니다. 날씨가 좋고, 컨디션이 좋은 날에는 통증 없이 간단한 산책 정도는 할 수 있습니다. 반면 무리한 활동을 했거나 컨디션이 좋지 않을 경우에는 통증이 더 심해지기도 합니다. 이처럼 통증의 차이가 있다는 것은 우리 몸의 근육과 인대가 퇴행되어 약해졌다 하더라도 기능은 아직 살아있다는 것을 의미합니다.

따라서 이처럼 어느 정도 남아있는 근육과 인대의 상태를 좋게 만들어주는 치료를 진행하면 큰 문제 없이 생활할 수 있는 날들이 많아지고, 통증 없이 걸을 수 있는 거리도 증가할 수 있습니다. 실제로 치료 후 쥐가 나지 않거나, 허리나 다리가 뻣뻣하지 않고 부드럽게 유지된다면 이는 근육과 인대의 기능이 회복되었다는 것을 의미합니다.

간혹, 통증의 차이가 있는 것을 어떤 날은 좁아진 척추관이 넓어졌다가 어떤 날은 다시 좁아지는 것은 아닐까 하는 의문을 가질 수 있습니다. 하지만 아닙니다. 좁아진 척추관은 시간이 지난다고 해서 넓어지지 않을뿐더러 더 좋아지지도 않습니다. 또한 퇴행되어 부풀어 오른 황색인대도 원래의 크기로 되돌아가지 않습니다. 즉, 좁아진 척추관을 넓히지 않음에도 증상 개선이 가능한 이유는 척추를 지탱하는 근육과 인대에 있습니다.

척추관협착증 환자는 치료를 받지 않더라도 무조건 운동을 꼭 해야 합니다.

척추관협착증이라는 질환은 지속적으로 다리 근력이 떨어지면서, 다리와 엉덩이 근육도 위축되는 성격이 아주 강한 질환이기 때문입니다. 그래서 꾸준한 운동을 통해서 근력과 근육을 유지해줘야 합니다. 이 근력과 근육을 유지하지 않으면 종국에는 걸을 수 있는 근력 자체가 극도로 떨어져서 못 걷게 돼버립니다. 그래서 실제로 협착증의 가장 심한 단계까지 가신 분들을 보면 아픈 것 보다는 근력이 떨어지고 근육이 위축돼서 아예 걷질 못하게 되는 게 제일 큰 문제입니다.

모커리 척추관협착증 ABCDE 한•양방 협진 근육재활치료법

모커리 척추관협착증 ABCDE 한·양방 협진 재활치료법은 수술 없이 협착증을 치료하는 모커리 고유의 비수술 치료방법입니다. 한쪽 다리의 통증만 있는 초기 협착증부터 다리에 힘이 빠지고 몇 걸음 걷지 못하는 말기 협착증까지 ABCDE 척추관협착증 비수술 치료법으로 치료하고 있습니다. 모커리는 수준 높은 임상연구를 통하여 말기 협착증 환자가 ABCDE 재활치료로 통증 없이 걷는 거리가 11배 증가했다는 것을 과학적으로 객관적으로 증명하여 국제학술지에 논문을 발표했습니다.

■ 모커리 척추협착증 치료효과, 통증 없이 보행가능 거리 11배 증가

이런 논문을 못 믿으시면 뭘 믿고 치료받으시겠습니까?

무통증 보행거리 그래프

모커리한방병원의 이완추나는 미국 메이요클리닉과 공동연구를 통해 ‘중증 척추관협착증 환자가 한방치료 후 통증 없이 걸을 수 있는 보행거리가 11배 이상 증가하였다’는 한방치료 효과에 대한 논문을 발표하였습니다. 이미 국제 유명 의학학술지(Journal of Pain Research)에 게재된 만큼 한방치료 효과의 유효성과 안전성을 입증하였습니다. 그뿐만 아니라 모커리 이완추나는 척추뼈가 50% 밀려난 전방전위증 환자, 디스크 파열이 심한 환자, 척추유합술 후 재발된 환자 등 고난도 척추질환에 적용 가능합니다.

객관적으로 검증된 모커리 한방치료 자세히 보기 >

척추관협착증 함께 많이 본 내용

더보기 >

모커리한방병원 온라인 진료예약