보건복지부지정
석가탄신일
keyboard_tab
예약신청
- -
   [개인정보처리방침]

예약이 접수되면 상담원이 전화를 드려
예약을 확인해드립니다.

상담신청
- -
   [개인정보처리방침]

상담이 접수되면 전문 상담원이
직접 전화로 답변 드립니다.

모커리 소개

모커리소개
의료진소개
설립자 인사말
지점소개+
강남 모커리한방병원
의정부 모커리한방병원
검증된 치료효과+
디스크, 협착증 치료효과
수술후재발 협착증 치료효과
척추전방전위증 치료효과
전위증, 유합술 후 재발
협착증 치료효과 논문
전방전위증 치료효과 논문
한양방협진
공지사항
모커리 언론보도
보건복지부
탕전실인증제 통과
오시는길/진료시간+
강남점 오시는길/진료시간
의정부점 오시는길/진료시간
치료후기+
척추관협착증
척추전방전위증, 분리증
허리디스크, 허리통증
목디스크, 목협착, 목통증
수술후통증, 마비
디스크내장증
경추척수증
오십견,회전근개파열
엘보
무릎관절염
구안와사(안면마비)
교통사고
모커리TV+
척추관협착증
허리디스크
목디스크
영상 치료후기
영상치료후기 페이지+
경추척수증 비수술 재활치료후기 양손 마비와 보행 시 균형을 못 잡고 비틀거리는 환자분
경추척수증 비수술 재활치료 후기, 젓가락질과 단추 끼우기가 어렵고 걸으면 발을 헛딛는 환자
경추척수증 목디스크 수술 후 근육신경 재활치료후기 3년 간 회복되지 않는 마비 힘빠짐 통증 감각이상 재활치료후기
경추척수증 비수술 치료후기, 손에 힘이 빠지면서 글씨 쓰기가 어렵고, 가슴 아래 감각 마비, 다리에 힘이 빠지는 환자분의 근육신경재활치료후기

심한 협착증으로 다리가 가늘어지고
걷지 못하는 환자 재활치료후기

“걷기만 하면 다리에 힘이 빠져 버리고 허벅지, 발바닥까지 저려 걷지를 못하니까 눈이 펑펑 와서 쏟아져 있는데도 눈덩이 위에라도 앉아야 돼요. 이 고통은 당해본 사람만 압니다”

먼저 이 환자분에 대한 치료 전 MRI 상태를 설명 드린 후 환자분의 얘기를 직접 들어보겠습니다.

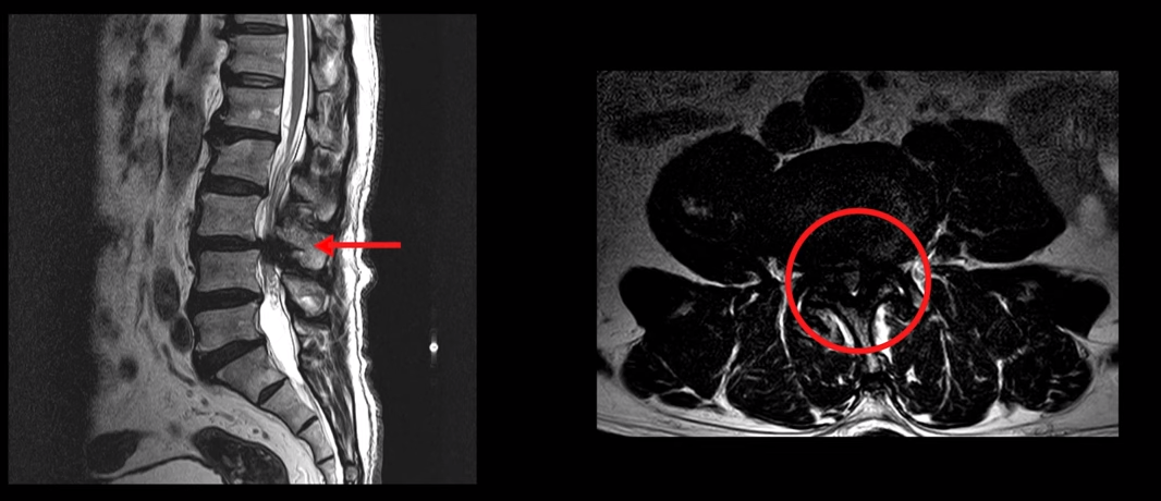
이 환자분은 3,4번에 심한 중심성 척추관협착증이 있습니다. 후관절과 황색인대가 모두 두꺼워진 진짜 협착증으로 신경이 지나가는 척추관이 많이 좁아져 있고 증상도 조금만 걸으면 발바닥과 허벅지가 저리고 다리에 힘이 빠져 서있을 수 없어 아무데라도 주저 앉아야 하는 신경성파행 증상, 즉 진짜 협착증 증상을 보이시는 환자분이십니다. 이런 환자분이 재활치료로 어떻게 또 얼마나 호전될 수 있을까요? 환자분의 얘기를 직접 들어보겠습니다.

“눈이 펑펑 와서 쏟아져 있는데 아무리 눈덩이 위에라도 앉아야 돼요. 서있을 수가 없어요”

제가 10여 년 전부터 허리에 통증이 와서 굉장히 어려움을 겪었는데 한 5년 전부터는 걷지를 못했습니다. 걷기만 하면 발바닥까지 저리고 허벅지가 저리고 다리에 힘이 빠져버리고요. 오른쪽 종아리는 그대로 32cm를 유지하는데, 왼쪽 종아리는 신경이 눌리다 보니 26cm로 가늘어졌습니다.그러면서 걷지를 못하니까 눈이 와서 펑펑 쏟아져 있는데 아무리 눈덩이 위라도 앉아야 돼요. 서 있을 수가 없어요. 그냥 앉을 수 없는 곳에라도 앉아서 좀 주무르거나 이렇게 하면 좀 괜찮아져요. 그러면 조금 걷고 이 고통은 당해본 사람만 압니다.



“척추 협착으로 10여 년을 고통 받았으니 그동안 맞은 신경주사는 셀 수가 없습니다. 처음 맞으면 며칠 괜찮지만 나중에는 그마저도 소용 없어요”

동네 병원을 다 다니며 신경주사를 맞았어요. 척추 협착으로 10여 년을 고통 받았으니 그간 맞은 신경주사 치료는 셀 수가 없습니다. 처음 주사를 맞았을 때는 며칠 괜찮아요. 그런데 나중에는 또 그것마저도 소용 없었습니다. 그래서 대학병원을 찾아가 수술하기로 결심한 거죠.



“수술을 하려면 5일 동안 심장약을 끊고 전신마취를 해야 하는데 그러면 수술 후 못 깨어날 확률이 높다니까 수술을 못하게 됐어요”

대학병원에서 수술 하려고 수술 날짜까지 다 받았습니다. 그런데 같은 병원의 다른 교수님에게 심장치료도 받고 있는 중 심장담당 교수님은 수술을 하기 위해서 5일 동안 심장약을 끊고 전신마취를 해야 하는데 그렇게 되면 수술 후 깨어날 확률이 매우 낮다고 말씀하셨습니다. 그 얘기를 듣고 나니 도저히 수술을 할 엄두가 안 나서 수술 날짜를 잡아놓고 수술을 취소할 수 밖에 없었습니다.



“모커리 운동을 따라 해봤더니 통증이 완화되고 5분 걷던 게 7,8분 걷게 되면서 신뢰가 쌓이더라고요. 그래서 직접 병원에 방문해 상담을 받아봐야겠다 하고 모커리로 오게 됐습니다”

인터넷에서 협착증에 좋은 운동방법을 검색해 보다가 모커리한방병원에서 올려 놓은 협착증 운동법을 보게 되었습니다. 영상에서 알려주는 운동을 그대로 따라 해보니 통증이 완화되고 5분 걷던 게 7분, 8분 이렇게 걸을 수 있는 시간이 조금씩 늘어났습니다. 운동만 했는데도 ‘아 이거구나’ 하면서 신뢰가 쌓이더라고요. 그래서 병원에 한번 방문해서 상담해봐야겠다 하고 모커리로 오게 됐습니다.

이 환자분의 얘기를 잘 들어보셨나요?

많은 환자분들이 이 환자분처럼 척추관이 막히고 다리가 저리면서 힘이 빠져 걸을 수가 없게 되고 신경주사 치료도 효과가 없어지면 대부분 수술 권유를 받게 됩니다. 이 환자분도 유명 대학병원에서 수술 권유를 받았으나 심장 문제로 수술을 받지 못하셨습니다. 그런 상황에서 모커리한방병원 유튜브 협착증 운동을 따라 하면서 일부 효과를 보시고는 모커리로 내원하셨습니다.

그리고 입원집중재활치료를 받으셨습니다. 저희는 척추관협착증의 원인이 척추관이 막힌 문제보다는 허리 주변 근육의 기능이 떨어지고 근육에 문제가 생긴 것이 더 중요한 원인이다 라고 계속해서 얘기하고 있습니다. 그래서 허리 주변 근육을 집중적으로 재활치료 해주면 협착증 증상이 좋아진다고 치료후기와 논문 등을 통해 지속적으로 발표하고 있습니다.

그럼 이렇게 거의 걷지 못하는 협착증 환자분이 입원집중재활치료를 통해서 얼마나, 또 어떻게 좋아질 수 있을까요? 이렇게 극심한 협착증으로 인해 다리가 가늘어지고 걷지 못했던 환자분의 치료 결과가 어떻게 되었을지 궁금하시다면 아래 영상을 꼭 보시길 바랍니다.

모커리 척추관협착증 ABCDE 한•양방 협진 근육재활치료법

모커리 척추관협착증 ABCDE 한·양방 협진 재활치료법은 수술 없이 협착증을 치료하는 모커리 고유의 비수술 치료방법입니다. 한쪽 다리의 통증만 있는 초기 협착증부터 다리에 힘이 빠지고 몇 걸음 걷지 못하는 말기 협착증까지 ABCDE 척추관협착증 비수술 치료법으로 치료하고 있습니다. 모커리는 수준 높은 임상연구를 통하여 말기 협착증 환자가 ABCDE 재활치료로 통증 없이 걷는 거리가 11배 증가했다는 것을 과학적으로 객관적으로 증명하여 국제학술지에 논문을 발표했습니다.

척추관협착증 함께 많이 본 내용

더보기 >

모커리한방병원 온라인 진료예약