보건복지부지정
keyboard_tab
예약신청
- -
   [개인정보처리방침]

예약이 접수되면 상담원이 전화를 드려
예약을 확인해드립니다.

상담신청
- -
   [개인정보처리방침]

상담이 접수되면 전문 상담원이
직접 전화로 답변 드립니다.

모커리 소개

모커리소개
의료진소개
설립자 인사말
지점소개+
강남 모커리한방병원
의정부 모커리한방병원
검증된 치료효과+
디스크, 협착증 치료효과
수술후재발 협착증 치료효과
척추전방전위증 치료효과
전위증, 유합술 후 재발
협착증 치료효과 논문
전방전위증 치료효과 논문
한양방협진
공지사항
모커리 언론보도
보건복지부
탕전실인증제 통과
오시는길/진료시간+
강남점 오시는길/진료시간
의정부점 오시는길/진료시간
치료후기+
척추관협착증
척추전방전위증, 분리증
허리디스크, 허리통증
목디스크, 목협착, 목통증
수술후통증, 마비
디스크내장증
경추척수증
오십견,회전근개파열
엘보
무릎관절염
구안와사(안면마비)
모커리TV+
척추관협착증
허리디스크
목디스크
영상 치료후기
영상치료후기 페이지+
경추척수증 비수술 재활치료후기 양손 마비와 보행 시 균형을 못 잡고 비틀거리는 환자분
경추척수증 비수술 재활치료 후기, 젓가락질과 단추 끼우기가 어렵고 걸으면 발을 헛딛는 환자
경추척수증 목디스크 수술 후 근육신경 재활치료후기 3년 간 회복되지 않는 마비 힘빠짐 통증 감각이상 재활치료후기
경추척수증 비수술 치료후기, 손에 힘이 빠지면서 글씨 쓰기가 어렵고, 가슴 아래 감각 마비, 다리에 힘이 빠지는 환자분의 근육신경재활치료후기

추간공협착증, 허리디스크파열, 근감소증 재활치료후기, 좌골신경통으로 양쪽 다리가 심하게 아픈 환자

“아파서 잠도 못 자고 정말 죽는 게 낫다 싶더라고요. 못 견디겠다 하고서 많이 울었어요. 정형외과 의사 말이 전신마취 해서 수술해야 한다는데 나이 많은 사람은 못한다 하더라고요. 집에 가서 죽을 날 기다리라는 그 뜻이지 뭐겠어요..”

제가 이 환자분의 MRI를 보면서 먼저 설명 드리고 그 이후에 이 환자분의 이야기를 직접 들어 보시겠습니다.

이 환자분은 약 1년 전부터 오른쪽 다리와 발에 쥐가 나면서 아프기 시작했습니다. 그런데 약 2달 전부터 왼쪽 다리가 심하게 저리고 아파지면서 잠도 못 자고 거의 걷지도 못하게 되셨고, 입맛이 떨어져 거의 식사도 못하시는 상태가 되었습니다.

이 환자분은 약 1년 전부터 오른쪽 다리와 발에 쥐가 나면서 아프기 시작했습니다. 그런데 약 2달 전부터 왼쪽 다리가 심하게 저리고 아파지면서 잠도 못 자고 거의 걷지도 못하게 되셨고, 입맛이 떨어져 거의 식사도 못하시는 상태가 되었습니다.

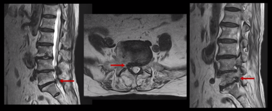
이분의 허리 MRI를 보면 여러 마디에 퇴행성 변화가 있습니다.

우선 5번 1번 마디를 보면 오른쪽으로 디스크도 밀려나와있고 또한 추간공도 좁아져 있는 것이 보입니다. 이걸 협착이라고 합니다.

1년 전부터의 오른쪽 다리 증상은 이 추간공이 좁아져서 생긴 추간공협착증 증상 때문인 것으로 보입니다.

또 위로 올라가서 2번 3번 관절을 보면 왼쪽으로 디스크가 파열되어 위로 밀려 올라가있고

3번 4번 마디를 보면 왼쪽으로 디스크가 많이 밀려나와 있습니다.

이 두 마디가 왼쪽 증상, 특히 허벅지 통증을 일으키는 원인으로 보입니다. 이렇게 여러 마디가 안 좋을수록, 또 고령일수록 수술하기가 더 까다로워지는데 또 큰 문제는 이 환자분은 근감소증이 심하게 진행된 상태로, 여기 MRI에서 보시다시피 허리 하부의 기립근 근육이 전부 지방으로 변해버려 근육 자체가 거의 없는 상태인 것입니다.

근육이 없는 근감소증 환자는 척추수술 후 예후가 더 안 좋은 것으로 알려져 있기 때문에 상담하신 정형외과에서도 수술 권유를 안 한 것으로 보입니다.

그런데 저희는 여러 영상을 통해서 디스크가 있건 협착증이 있건 근육의 역할이 가장 중요하고, 주변 근육이 아프지 않고 제 기능을 잘하면 협착증, 디스크, 전방전위증이 있어도 안 아프거나 훨씬 덜 아프다고 지속적으로 이야기하고 있습니다. 이것이 바로 협착증, 디스크, 전방전위증이 수술 없이 치료가 가능한 이유인 것입니다.

그렇기 때문에 환자분께 입원재활치료를 권유해드렸는데요. 이 환자분은 과연 얼마 만에 좋아지고 통증이나 그 외 증상들이 어느 정도 좋아지셨을까요? 먼저 환자분의 이야기를 들어보겠습니다.

“너무 아파서 정말 죽는 게 낫지, 아파서 못 견디겠더라고요. 몹시 아파서 많이 울었어요. ”

오른쪽 발이 아픈 건 이제 한 1년 됐어요. 무릎 밑에서 발 끝까지 오른쪽 다리가 쥐나고 아팠어요. 그러다 8월부터 왼쪽이 쭉 아팠습니다. 굉장히 아파서 이건 정말이지 죽는 게 낫겠다 싶을 정도로 이렇게 아파서는 못 견디겠다 하고서 정말 많이 울었어요. 아이들 보기도 창피하고.



“정형외과에서는 나이가 많아 수술을 못 한다고 합니다. 더 이상 의사가 봐주려고도 안 해요. 집에 가서 죽을 날 기다리라는 그 뜻이지 뭐예요.”

정형외과 의사 말이 이 병은 전신마취를 해서 수술을 해야 된다고 하는데 나이 많은 노인은 위험해서 못한다고 하더라고요. 더 이상 의사가 안 봐주려고 해요. 그러니까 울 수밖에 없었어요. 집에 가서 죽을 날 기다리라는 그 뜻이지 뭐예요..

“너무 아프다고 하소연 해서 두 차례 주사치료 받았지만 좀 괜찮아 지는 듯 하다가 도로 아팠어요.”

아프다고 하소연 하니까 통원했을 때 주사를 두 차례 겨우 맞았는데 맞고 나서 약간 통증이 잦아드는 듯 하다가 도로 아팠어요. MRI찍은 다음에 결과를 보더니 의사가 뭘 할 생각을 안 해요.

“손녀딸 덕분에 모커리를 알게 됐고, 진료 후 원장님이 치료 하려고 계획을 하시는 걸 보고 감사한 마음으로 입원했어요.”

손녀딸이 유튜브를 보내오면서 모커리 병원에 한번 진료 받아 보라고 그래서 알게 됐어요. 유튜브로 연배가 비슷한 분의 모커리 영상치료후기를 보내왔는데, 그 분이 치료가 잘 되어서 너무 좋아하고 인터뷰 하는 걸 보고 다른 데 가지 말고 모커리로 가자고 했어요. 진료 후 원장님이 치료 하려고 계획을 하시는 걸 보고 너무 감사한 마음으로 입원했어요.

이 환자분 이야기 잘 들으셨나요?

이 환자분은 오른쪽 다리와 왼쪽 다리, 엉덩이가 다 아프셨고 여러 마디에 협착증과 디스크가 있는 환자분이셨습니다. 또 근감소증도 있으셨습니다. 영상에서 말씀은 안 하셨지만 88세의 고령에 식이장애로 인해 탈수가 진행되어 신장 수치도 안 좋은 상태셨습니다.

그런데 한편으로 다행인 것은 이분 척추는 여러 마디 다 문제이기는 하지만 저희가 보는 환자 중에서 신경 구멍이 아예 보이지 않을 정도로 막힌 협착증 환자분이나 신경 구멍을 거의 다 막을 정도로 심하게 디스크가 파열된 환자분들에 비해서는 신경의 눌림 정도는 많이 심하시지는 않은 상태셨습니다. 이런 상태라면 더 빠른 호전을 기대해볼 수 있을까요?

그리고 저희가 통증, 즉 아프다라고 말하는 환자는 다리에 힘이 빠진다 라고 하는 환자보다 일반적으로 치료가 훨씬 빠르고 잘 된다 라고 계속해서 얘기 하는데 과연 이 환자분의 치료 결과는 어떻게 되었을까요? 더 빨리, 더 많이 통증이 완전히 없어지는 완치 단계까지도 좋아질 수 있을까요?

이 환자분의 치료 결과가 궁금하시다면 아래 영상을 꼭 보시길 바랍니다.

모커리 척추관협착증 ABCDE 한•양방 협진 근육재활치료법

모커리 척추관협착증 ABCDE 한·양방 협진 재활치료법은 수술 없이 협착증을 치료하는 모커리 고유의 비수술 치료방법입니다. 한쪽 다리의 통증만 있는 초기 협착증부터 다리에 힘이 빠지고 몇 걸음 걷지 못하는 말기 협착증까지 ABCDE 척추관협착증 비수술 치료법으로 치료하고 있습니다. 모커리는 수준 높은 임상연구를 통하여 말기 협착증 환자가 ABCDE 재활치료로 통증 없이 걷는 거리가 11배 증가했다는 것을 과학적으로 객관적으로 증명하여 국제학술지에 논문을 발표했습니다.

척추관협착증 함께 많이 본 내용

더보기 >

모커리한방병원 온라인 진료예약