“네 달 전인데 다리 밑으로 통증이 내려가더라고요. 그냥 약만 먹고 있는데 디스크가 뻥 터져버린 거예요. 오른쪽 종아리 옆으로 발까지 다 저리고 말로 표현할 수 없을 정도로 심하게 아파요. 앉지를 못하는 거예요. 밥을 서서 먹고, 걷는 것도 완전 쩔룩쩔룩 걷죠. 신경주사를 맞으라고 그러더라고요. 세 번을 일주일 간격으로 맞았는데 소용 없더라고요. 큰 종합병원에서는 많이 터졌다고 더 이상 뭐 할 게 아무 것도 없고 무조건 수술이래요.”
먼저 이 환자분 상태에 대해 설명 드린 후 이분 말씀 더 들어보겠습니다.
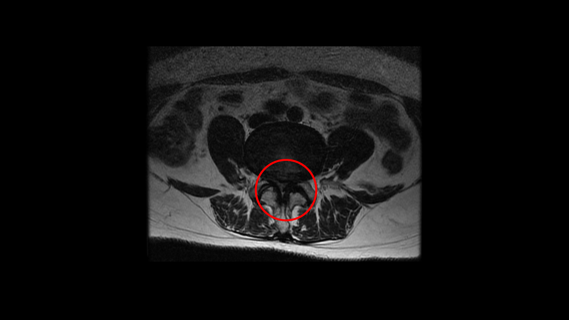
이분은 약 4달 전에 디스크가 갑자기 파열됩니다. MRI를 보면 4번 5번 디스크가 터져서 밀려나온 수핵이 아래로 흘러내려 있습니다.
축상면에서 보면 흘러내린 수핵이 신경이 있어야 할 자리를 차지하고 있는 것이 보입니다.
또 보시다시피 이 4번 5번 마디에서는 심한 중심성 협착도 있습니다.
이 파열된 디스크로 인해 극심한 엉치 통증과 다리의 방사통이 발생합니다.
3회의 신경 주사도 전혀 듣지 않았고 수술 외에 어떠한 방법도 없다는 의사 소견에 수술 동의서까지 서명한 상태에서 지인분의 강력한 추천으로 디스크 파열의 비수술 재활치료를 위해 모커리를 내원하셨습니다.
모커리는 디스크는 파열이 심하면 심할수록 흡수가 더 잘 될 가능성이 훨씬 더 높으니까 심하게 디스크가 파열되신 분들도 가능하면 적극적으로 비수술 재활치료를 받아보시라고 말씀 드리고 있습니다. 이분도 MRI에서 보시다시피 파열이 심하기 때문에 저희는 흡수가 더 잘 될 케이스로 보고 치료를 시작했는데 과연 이분의 치료 결과는 어떨까요? 흡수도 잘 될까요? 이 환자분은 일상생활이 불가능할 정도로 아팠고 앉는 것이 아예 불가능했습니다. 이 정도면 당연히 입원 치료를 하셔야 되지만 이 환자분은 환자분 어머니 때문에 입원에 대한 트라우마가 있으셔서 통원 치료를 하기로 의료진과 협의를 하셨습니다. 대신 통원 치료 하시는 동안 댁에 돌아가시면 자가관리를 입원 치료하듯이 정말 잘하겠다고 약속하셨습니다. 그리고 그대로 잘 실천하셨습니다.
이렇게 심한 디스크 파열도 통원치료로 치료가 가능할까요? 몇 번의 치료로 좋아질 수 있을까요? 환자분 이야기 먼저 들어보시겠습니다.
네 달 전인데 엉치 고관절 있는 데가 좀 깊숙이 아픈 느낌이 들었어요. 그러더니 다리 밑으로 통증이 내려가더라고요. 한 2주인가 약만 먹고 있는데 그냥 디스크가 뻥 터져버린 거예요. 갑자기 하루 아침에 일어났는데 너무 아픈 거예요. 아파도 완전 너무 아픈 거예요.
가장 괴로웠던 건 엉치 있는 고관절이 굉장히 아프면서 오른쪽 종아리 옆으로 아프기 시작하면 발까지 다 저리고 말로 표현할 수 없을 정도로 굉장히 심하게 아팠어요. 내 살 같지도 않은 느낌이 있고 앉아 있지도 못했어요. 걷는 것도 완전 쩔룩쩔룩 걷죠. 혼자는 못 걷고 옆에서 받쳐줘야 해요. 계단은 도저히 못 걷고.
앉는 게 힘들어서 밥을 못 먹었어요. 서서 먹고. 하도 집밥만 먹으니까 남편이 밖에 나가서 사준다고 나가잖아요. 음식점에서 앉지를 못하는 거예요. 음식이 나오면 그냥 미친듯이 퍼 집어 넣고는 일어서서 먹었어요. 소파에도 못 앉고 아무 데도 앉지 못했어요.
의사 선생님이 반듯하게 누우라는데 그게 얼마나 힘든지 옆에서 누가 이불만 스쳐도 아팠어요. 잠도 제대로 못 잤어요. 깊이 못 자고 새벽 3시면 여지 없이 아팠어요. 그러니까 새벽이 제일 힘들더라고요. 아주.
큰 종합병원으로 가서 먼저 CT를 찍어봤는데 4번 5번이 튀어나와 있다. 신경주사를 맞으라고 했어요. 그래서 일주일 간격으로 세 번 맞았는데 소용 없었어요. 그때부터 더 심하게 아프고 앉아 있지 못하고 MRI를 찍은 상태에서 보니까 디스크가 많이 터졌다고 그랬어요. 강력한 스테로이드를 넣어달라고 했는데 할 수가 없다고 했어요. 더 이상 할 게 아무것도 없고 이런 상태에서는 무조건 수술이래요. 수술을 당장 저녁에 하자고 하더라고요. 그러다가 밥을 먹었으니까 내일 아침으로 하자고 하고 입원 수속 다 밟았어요.
남편 동료인데 되게 친한 분이 있어요. 그 분은 양쪽 다리에 다 방사통이 왔는데 모커리 오고 나서 많이 나았다고 거의 다 나아서 지금 다시 직장을 다니고 있어요. 그러면서 한번 믿어보라고 그 분이 추천을 했어요. 그래서 그 길로 모커리에 온 거예요.
이분 말씀 잘 들으셨습니까?
심하게 터진 디스크를 수술없이 한방으로 치료한다는 게 상식적으로 납득이 되지 않았지만, 지인분의 적극적인 권유로 저희 병원을 방문하셨다고 하셨는데요. 심하게 터진 디스크를 침과 한약만으로 치료하는 게 아니고 한방과 양방의 여러 가지 재활적인 치료 방법으로 치료하는 것인데, 거의 대부분의 환자분들은 이런 부분에 대해 전혀 모르고 계십니다. 그래서 침과 한약만으로 어떻게 치료가 되나라고 생각하십니다. 지금부터 어떻게 근육 재활치료로 심하게 파열된 디스크를 치료하는지 자세히 설명 드리겠습니다.
저희는 디스크가 심하게 터지면 터질수록 흡수는 더 잘된다고 계속 말씀 드리고 있습니다. 터진 디스크의 흡수는 한두 달 정도의 시간이 지나면 우리 몸의 면역시스템이 알아서 염증을 가라앉히고 밀려 나온 디스크 수핵도 조금씩 흡수가 시작됩니다.
우리가 재활치료해주는 것은 이 과정에서 엄청나게 심한 통증이 발생하고 안 아프기 위해 온몸을 비트는 과정에서 몸이 틀어지니까 우리 몸이 틀어지지 않도록 뭉치고 아픈 근육을 지속적으로 매일 수 차례 여러 번 반복 치료해서 풀어주고 뭉치고 단축되고 굳은 근육이 우리 몸을 틀어지게 만들지 않도록 해주는 겁니다.
이 치료의 결과로 우리 몸이 틀어지지 않고 허리와 골반의 근육도 뭉치지 않고 단축되지 않고 굳어 있지 않으면 디스크로 인한 염증이 가라앉고 디스크 흡수가 조금씩 진행되면서 디스크 통증은 사라지게 됩니다. 심지어는 디스크 파열이 극심하여 부분적인 마비와 힘 빠짐이 발생했던 환자들도 몸이 틀어지지 않으면 염증이 가라앉고 디스크의 일부라도 흡수가 진행되면서 마비와 힘 빠짐이 풀리고 통증이 가라앉는 겁니다.
저희가 이런 마비가 발생한 환자분들의 치료 후기도 많이 올려놓았으니 꼭 보시길 바랍니다. 그럼 도대체 어떤 사람들이 디스크가 오랫동안 낫지 않고 계속 고생할까요? 디스크 탈출이라는 질환과 싸우는 과정에서 허리와 골반 근육들은 뭉치고 굳어버리고 불균형하게 단축되면서 몸이 심하게 틀어지는 사람들일수록 디스크 증상이 오랫동안 좋아지지 않고 오래 가는 것입니다.
디스크가 완전히 흡수되지 않은 상태에서 몸이 틀어지면 밀려 나온 디스크 수핵이 신경을 자극하기 매우 쉬운 상태가 됩니다. 또한 허리와 골반의 뭉치고 굳고 단축된 근육들은 허리에 많은 압력을 가하면 신경이 더 많이 눌리도록 작용합니다.
이런 상태에서 몸이 틀어진 채로 절뚝거리며 걷고, 몸이 비틀어진 채로 앉아있고, 몸이 틀어진 채로 잠을 자고 이런 상황이 지속되면 디스크 증상이 좋아지기 어렵습니다. 게다가 허리 주변의 뭉친 근육을 풀어주는 좋은 운동인 걷기 운동도 몸이 틀어진 채 절뚝거리며 걷고 필요 이상으로 많이 걷고 또 바른 자세를 만드는 신전 자세도 허리에 힘을 많이 주며 무리하게 하는 사람들이 많습니다. 이런 것들이 허리 근육들이 더 심하게 뭉치도록 만드는 요인들입니다.
허리 주변 근육이 심하게 뭉치면서 아픈 사람들일수록 몸이 많이 틀어지고 허리디스크가 잘 낫지 않습니다. 이런 환자분들의 근육을 꼼꼼하고 부드럽게 만지면서 허리, 골반, 엉덩이, 다리 근육들이 뭉치지 않게 굳어지지 않게 불균형하게 틀어지지 않게 치료하고 만들어주면 허리디스크는 결국 좋아집니다.
입원 치료는 이런 근육 재활치료를 하루에도 5~6번씩 반복해서 진행하면서 치료 직후 휴식을 취하는 즉, 치료하고 쉬고 치료하고 쉬고 치료하고 쉬고를 매일매일 1~2주 이상 반복하는 겁니다.
결국 뭉치고 아픈 근육이 풀리고 틀어졌던 몸이 반듯이 돌아오면 통증이 가라앉고 그런 상태에서 추가적인 관리를 2주 정도 잘해주면 민감해졌던 신경이 정상적인 수준으로 둔감해지면 치료가 완성되는 겁니다. 이제 디스크 파열의 근육 재활치료가 조금이나마 이해가 되시는지 궁금합니다.
이분은 개인적인 사정으로 통원 치료를 하셨는데요. 통원 치료의 제일 중요한 부분은 치료 후 댁에 돌아가 다시 풀어놓은 근육이 다시 뭉치지 않도록 조심해서 관리를 잘하는 겁니다. 이 환자분 및 보호자 분이 정말 입원 치료하듯이 관리를 잘하겠다고 약속하셔서 어렵지만 통원 치료를 시작했고 실제로 치료 후 결과를 보시면 이 과정에서 남편분의 헌신적인 보살핌이 있으셨습니다.
그럼 이분의 치료 결과는 과연 어떻게 되었을까요? 통원치료를 약 3달 동안 19회 받으셨는데 밀려나온 디스크 흡수는 잘 되고 있을까요? 이 환자분의 치료 결과가 궁금하시다면 아래 영상을 꼭 보시길 바랍니다.
모커리 허리디스크 ABCDE 한·양방 협진 재활치료법은 수술 없이 허리디스크를 치료하는 모커리 고유의 비수술 치료방법입니다. 디스크 통증은 물론 수술을 권유 받을 정도의 마비와 힘 빠짐을 동반한 디스크 파열 등의 중증 허리디스크를 수술 없이 ABCDE 허리디스크 비수술 치료법으로 치료하고 있습니다. 모커리는 심하게 파열된 허리디스크 뿐 아니라 수술 후 재발한 허리디스크, 척추유합술 후 재발한 허리디스크 등의 어려운 척추 질환을 비수술로 치료하고 있으며, 이러한 ABCDE 치료법의 효과를 과학적, 객관적으로 검증하여 해외 유명학회 및 학술지 등에 지속적으로 발표하고 있습니다.

보다 많은 환자분들과 건강정보를 공유하고자 개방형 게시판으로 건강상담을 운영하고 있습니다. 목과 허리 통증•디스크•협착증•교통사고•어깨•무릎 등 궁금하신 질문을 남겨주시면 전문의가 최대한 자세하게 답변 드립니다.
| 제목 | |||||||||
|---|---|---|---|---|---|---|---|---|---|
|
|||||||||
|
|||||||||
|
|||||||||
|
|||||||||