“7년 전부터 한쪽 다리를 질질 끌고 다닐 정도로 통증이 심했어요. 통증이 엉덩이부터 쭉 오른쪽 다리를 타고 내려가죠. 발목까지. 치료해 보려고 여러 병원을 다녀도 고칠 수 없었어요. 그래서 22년에 풍선확장술을 받았어요. 효과가 두 달도 못 갔어요. 1년 뒤에 병원에서는 수술 밖에 답이 없다고 하며 전방전위증이니 나사 박는 수술을 하자고 했어요.”
모커리한방병원은 근육 문제로 방사통이나 좌골신경통이 얼마든지 생길 수 있고, 그런 환자분들이 매우 많다는 내용을 여러 영상을 통해 말씀 드리고 있습니다. 그런데 여러 근거를 보여줘도 못 믿는 분들이 많습니다. 그러나 오늘 이 환자분의 치료 사례를 보면 근육성 방사통, 근육성 좌골신경통이 있다는 것을 인정하지 않을 수 없을 겁니다.
먼저 이 환자분 상태에 대해 설명 드린 후 환자분 얘기 들어보겠습니다. 이 환자분은 무려 7년 동안 허리 통증과 엉치통증 및 오른쪽 다리 방사통을 겪으신 분입니다.
다리를 질질 끌고 다닐 정도로 심하게 아팠고, 걷지도 못하고, 앉아도 아프고, 누워서 돌아눕기도 어려웠습니다. 7년 동안 신경 주사와 풍선확장술 및 한방치료 등 안 받아본 치료 없이 다 받아보셨지만, 별 효과가 없었습니다. 결국은 대학병원을 포함한 여러 수술 병원에서 수술 권유를 받았습니다.
그런데 이렇게 오래 7년 동안이나 고통 받은 엉치 통증과 다리 방사통이 만일 수술 없이 근육 치료만으로 하룻밤 사이에 좋아질 수 있다면 여러분은 이걸 어떻게 해석하시겠습니까? 만일 진짜 하룻밤 사이에 통증이 좋아진다면 도대체 이 기나긴 시간의 통증의 원인은 과연 무엇이었을까요?
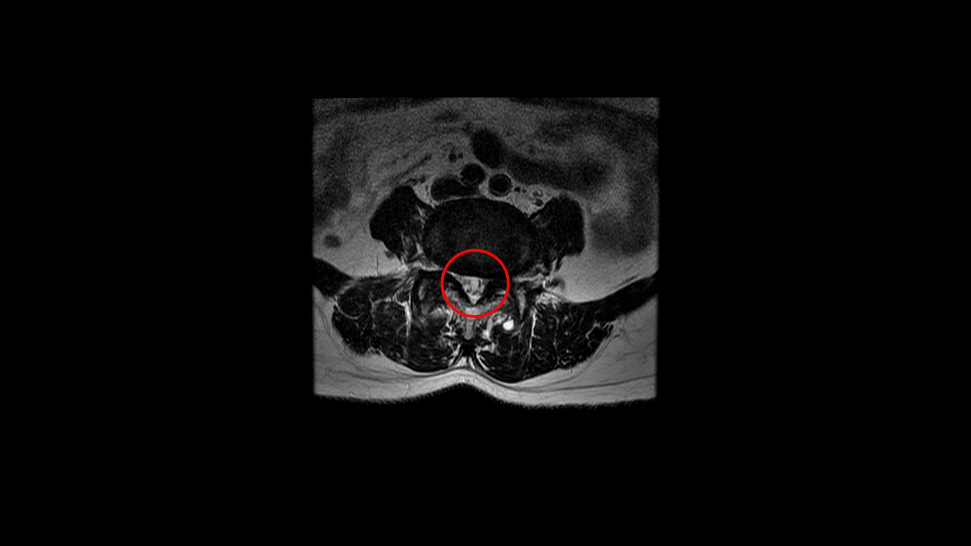
우선 이 환자분의 MRI를 함께 보겠습니다. 이 환자분의 척추에는 3번 4번과 4번 5번에 각각 1단계의 전방전위증이 있습니다.
3번 4번에는 왼쪽으로 디스크 탈출이 있고
중심성 협착도 있습니다.
그리고 4번 5번에도 왼쪽으로 퇴행성디스크와 후관절의 퇴행으로 신경 가지가 나가는 구멍이 좁아져 있습니다.
그리고 중심성 협착도 있습니다.
그런데 이 환자분의 제일 불편한 증상은 왼쪽이 아니고 오른쪽 엉치와 다리 증상입니다. 이분 오른쪽 신경 구멍들을 보면 전부 다 넓게 잘 열려 있습니다.
엉치와 다리 방사통을 일으킬만한 특별한 신경 눌림이 보이지 않는 것입니다. 그럼에도 불구하고 여러 마디의 전방전위증과 척추관 협착 그리고 디스크 탈출이 있으니까 그것을 원인으로 보고 신경 주사도 맞고 시술도 받으셨습니다. 그러나 별 효과는 없었습니다. 그리고 대학병원에서도 결국은 수술밖에 방법이 없다고 수술을 권유하였습니다.
모커리한방병원은 허리에서 신경의 눌림이 심해 보이지 않는데 엉덩이 통증과 방사통이 있다면 반드시 근육 문제를 의심해 봐야 한다고 얘기합니다. 허리에서 신경의 눌림이 없어도 근육 문제만으로도 얼마든지 엉덩이 통증과 다리 방사통 또는 좌골신경통이 생길 수 있습니다. 우리는 이걸 근육성 방사통 또는 근육성 좌골신경통이라고 부릅니다. 양방에서도 이런 비슷한 개념이 있습니다. 방사통이 있으나 도저히 허리에서의 신경 눌림을 의심하기 어려울 때 엉덩이 근육에서 신경이 눌린 걸로 판단하고 이상근증후군이라는 용어를 사용합니다. 그러나 이상근 같이 조그만 근육 하나가 문제를 일으키는 경우는 거의 없습니다. 엉덩이 쪽의 훨씬 더 큰 근육들(대둔근, 중둔근, 소둔근)이 문제인 경우가 대부분입니다. 이 환자분은 엉덩이의 옆쪽, 즉 중둔근 쪽을 지나 허벅지와 종아리 바깥쪽으로 방사통이 심하게 있었습니다. 무려 7년 간의 방사통이라 그 방사통이 지나가는 쪽의 근육, 특히 중둔근과 소둔근이 극심하게 뭉쳐있는 상태였습니다.
이렇게 근육이 심하게 뭉쳐있으면 그 근육 사이를 지나가는 신경과 혈관이 매우 큰 영향을 받습니다. 이 근육들이 풀리기 전에는 방사통이 좋아지지 않는 겁니다. 또한 허리에서 신경이 눌려서 생기는 방사통이라고 해도 그 방사통이 오래 지속되어 엉덩이 근육이 심하게 굳어 있으면 수술로 허리에서 신경을 풀어줘도 엉덩이의 오랫동안 심하게 뭉친 근육은 쉽게 풀리지 않습니다. 그러면 방사통 또한 좋아지지 않는 경우가 많습니다. 그래서 수술 후에도 방사통이 심하게 남아있으면 뭉친 근육, 특히 엉덩이 근육을 풀어주는 재활치료를 받아야 되는 이유입니다.
아무튼 이 환자분은 엉덩이의 중둔근과 소둔근 쪽이 극심하게 뭉쳐있었고, 이 근육들을 입원 첫날 약침과 장침으로 다 풀어주었고 추나요법과 도수치료로 주변 근육들까지 다 풀어드렸습니다. 이렇게 엉덩이 근육을 꼼꼼히 잘 풀어주었다고 해서 진짜 하룻밤 만에 7년 된 오랜 방사통이 사라질 수 있을까요? 이 환자분 이야기 먼저 들어보시겠습니다.
한 7년 전부터 도저히 걸을 수 없어서 갑자기가 아니라 누적인 거죠. 서서히 아팠던 거예요. 그때는 걷지도 못했어요. 한쪽 다리를 질질 끌고 다닐 정도로 걷지 못하고 한 5분을 못 걸어서 바닥에 주저 앉을 정도로 아팠어요.
통증이 심했어요. 엉덩이부터 이제 쭉 오른쪽 다리를 타고 내려가죠. 복숭아뼈 있는 데 발목까지. 엉덩이가 들고 빠진다는 그런 느낌, 그리고 발목까지 저림이 있고, 빵빵하게 종아리가 터져 나갈 것 같은 그런 느낌이 있었어요. 그리고 걸을 수가 없는 거하고 주저앉는 거 하고 엉덩이가 빠져버리려고 하는 것이 가장 괴로웠어요. 통증을 모르는 사람은 이해를 못해요. 표시가 안 나잖아요.
잘 때는 돌아누울 때 힘들었죠. 돌아누울 때 엉덩이 쪽에 통증이 탁 걸렸어요. 앉아있을 때도 계속 통증이 있죠. 엉덩이하고 다리 오른쪽으로 저림이 있었어요. 서 있지도 못했어요. 이걸 고쳐 보려고 여러 병원을 다녀도 듣질 않아서 고칠 수가 없었어요. 신경주사도 일주일에 한 번씩 다섯 번 맞았어요. 잘한다는 병원이 있어 멀리까지 갔었어요. 그런데 그때 뿐이고 주사를 맞으면 효과가 2~3일을 못 가니까 정말 살고 싶지 않을 정도로 통증이 심했어요. 22년에 풍선확장술 했어요. 그런데 효과가 두 달도 못 갔어요.
협착증이고 전방전위가 있었던 것 같아요. 그런데 그런 설명 없이 그냥 시술해야 된다라는 말을 들었죠. 1년 뒤에 병원에 갔더니 수술 밖에 없다 나사 박는 수술하자 그러죠. 전방전위증이니까요.
유트브에 척추관협착증을 검색하면 모커리가 나오는데 우연히 보고 오게 됐어요. 저도 한방치료를 받아본 입장에서 한방이니까 반신반의 했어요. 치료후기 영상을 보면 다들 다 나았다고 하는데 정말일까 했어요. 우리 아들도 솔직히 안 믿었어요. 대학병원에서 수술밖에 없다고 들었으니까 안 믿었어요. 왜냐하면 본인이 대학병원으로 같이 날 데리고 갔었으니까. 처음에 치료를 결정하기 전에 반신반의였는데 막상 올 때는 그 마음은 아니었어요. 내가 여기 아니면 고칠 데가 없다. 수술 안 하고 낫기 위해서 이 병원에 입원한다 그런 마음으로 온 거죠.
이 환자분 말씀 잘 들으셨나요? 7년 간을 고생했으나 어떤 치료에도 좋아지지 않았고 대학병원에서도 수술 밖에 방법이 없다고 들었습니다. 보통 이렇게 근육성으로 방사통이 있는 분들은 두 가지 타입으로 나뉩니다.
이 환자분처럼 근육이 극심하게 뭉쳐있는 분들과 또 한편으로는 근육이 너무 적어서 버티지 못하는 분들, 두 가지 타입으로 나뉘는데, 이런 분들은 근육을 만져보면 근육의 느낌이 흐물흐물합니다. 보통은 딱딱하게 근육이 뭉친 분들이 치료 효과가 훨씬 더 빨리 나타납니다. 뭉친 게 풀리기만 하면 일단 좋아지니까요. 근육이 없어서 흐물흐물한 분들은 재활 운동으로 근육 강화를 추가적으로 해줘야 하기 때문에 일반적으로 치료 기간이 조금 더 걸립니다.
여기에 근육성 방사통, 근육성 좌골신경통 증상을 보이시는 분들의 추가적인 치료 후기가 있습니다. 어떤 분들은 근육이 뭉쳐서 아픈 분들이고, 어떤 분들은 근육이 많이 빠져서 근감소증까지 있으신 분들입니다. 공통점은 이분들 허리에서 신경학적 방사통을 일으킬만한 심한 신경 눌림들이 안 보인다는 겁니다.
그런데 허리 MRI에서 뭐라도 조금이라도 구조적 병변이 보이면 증상과 정확하게 일치하지 않는 경우에도 그걸 원인으로 보고 치료를 진행하는 경우가 매우 많습니다. 그래서 여러분은 치료 받을 때 특히 수술을 한다면 여러분의 증상이 MRI와 일치하는지 반드시 꼼꼼하게 확인할 필요가 있습니다.
그리고 만약에 내 증상을 일으킬만한 신경 눌림 상태가 MRI에서 명확하게 확인되지 않거나 신경 눌림이 심하지 않은 경우에는 반드시 근육 문제가 아닌지 확인해볼 필요가 있습니다. 또 신경주사나 시술을 여러 번 받았는데도 방사통이 전혀 좋아지지 않는다면 근육 문제를 의심해보아야 합니다.
이 환자분은 MRI에서 오른쪽에 신경 눌림이 심해 보이지 않는 상태에서 오른쪽에 심한 방사통과 함께 오른쪽 중둔근이 극심하게 뭉쳐있는 것이 확인되었습니다. 만일 이 근육들을 풀어서 하룻밤 사이에 방사통이 사라진다면 그건 명확히 근육성 방사통이었던 겁니다. 보통 단단하게 뭉쳐있는 근육에 의한 방사통이라해도 하루만에 치료가 되는 경우는 매우 드뭅니다. 특히 7년씩이나 방사통이 있었으면 근육이 뭉쳐도 정말 심하게 뭉쳐있을 거고 엉덩이 근육만이 아니라 허리 근육 및 다리 근육들도 다 뭉쳐있을 가능성이 높기 때문에 1-2주 정도 매일 4-5회 이상 다양한 방법으로 근육을 풀어주면서 쉬는 걸 반복하는, 즉 풀어주고 쉬고 풀어주고 쉬고 풀어주고 쉬고를 반복해야 극심하게 뭉친 근육이 풀립니다. 그래야 방사통이 사라지고 좋아지는 겁니다.
그런데 사람에 따라 치료의 반응은 다르기 때문에 극적으로 빠른 반응이 나오는 분들도 있고 회복 기간이 조금 더 긴 분도 있습니다. 이분의 치료 후 결과가 궁금하시다면 아래 영상을 꼭 보시길 바랍니다.
모커리 척추관협착증 ABCDE 한·양방 협진 재활치료법은 수술 없이 협착증을 치료하는 모커리 고유의 비수술 치료방법입니다. 한쪽 다리의 통증만 있는 초기 협착증부터 다리에 힘이 빠지고 몇 걸음 걷지 못하는 말기 협착증까지 ABCDE 척추관협착증 비수술 치료법으로 치료하고 있습니다. 모커리는 수준 높은 임상연구를 통하여 말기 협착증 환자가 ABCDE 재활치료로 통증 없이 걷는 거리가 11배 증가했다는 것을 과학적으로 객관적으로 증명하여 국제학술지에 논문을 발표했습니다.
