보건복지부지정
keyboard_tab
예약신청
- -
   [개인정보처리방침]

예약이 접수되면 상담원이 전화를 드려
예약을 확인해드립니다.

상담신청
- -
   [개인정보처리방침]

상담이 접수되면 전문 상담원이
직접 전화로 답변 드립니다.

모커리 소개

모커리소개
의료진소개
설립자 인사말
지점소개+
강남 모커리한방병원
의정부 모커리한방병원
검증된 치료효과+
디스크, 협착증 치료효과
수술후재발 협착증 치료효과
척추전방전위증 치료효과
전위증, 유합술 후 재발
협착증 치료효과 논문
전방전위증 치료효과 논문
한양방협진
공지사항
모커리 언론보도
보건복지부
탕전실인증제 통과
오시는길/진료시간+
강남점 오시는길/진료시간
의정부점 오시는길/진료시간
치료후기+
척추관협착증
척추전방전위증, 분리증
허리디스크, 허리통증
목디스크, 목협착, 목통증
수술후통증, 마비
디스크내장증
경추척수증
오십견,회전근개파열
엘보
무릎관절염
구안와사(안면마비)
모커리TV+
척추관협착증
허리디스크
목디스크
영상 치료후기
영상치료후기 페이지+
경추척수증 비수술 재활치료후기 양손 마비와 보행 시 균형을 못 잡고 비틀거리는 환자분
경추척수증 비수술 재활치료 후기, 젓가락질과 단추 끼우기가 어렵고 걸으면 발을 헛딛는 환자
경추척수증 목디스크 수술 후 근육신경 재활치료후기 3년 간 회복되지 않는 마비 힘빠짐 통증 감각이상 재활치료후기
경추척수증 비수술 치료후기, 손에 힘이 빠지면서 글씨 쓰기가 어렵고, 가슴 아래 감각 마비, 다리에 힘이 빠지는 환자분의 근육신경재활치료후기

척추협착증 전방전위증 비수술 근육재활치료후기, 유합술 외에는 방법이 없다는데 근육치료로 어떻게 좋아질까

“걷기도 힘들고 서 있는 건 더더욱 힘들고요. 오래 앉아 있으면 힘들고. 이렇게 아프기 시작한 건 한 7년 정도 됐어요. 걸을 때 한 100m 걸으면 어디가 앉아야 했어요. 못 걸었어요. 다리에 힘이 없어서 자꾸 주저 앉으려고 하고 MRI를 찍으니까 수술밖에는 별 방법이 없다, 유합밖에 안 된다, 핀을 양쪽으로 4개를 꼽는다고 그러더라고요. 수술 얘기를 하니까 남편이 펄쩍 뛰고 우리 아들은 ‘엄마 유합은 절대 안 된다’고 이러더라고요. 이제 해도 해도 안되니까 결국 대학병원에서 수술 날짜를 잡았어요. 우리 아들이 ‘엄마 모커리를 마지막으로 한번 가보자’고 해서 왔어요”

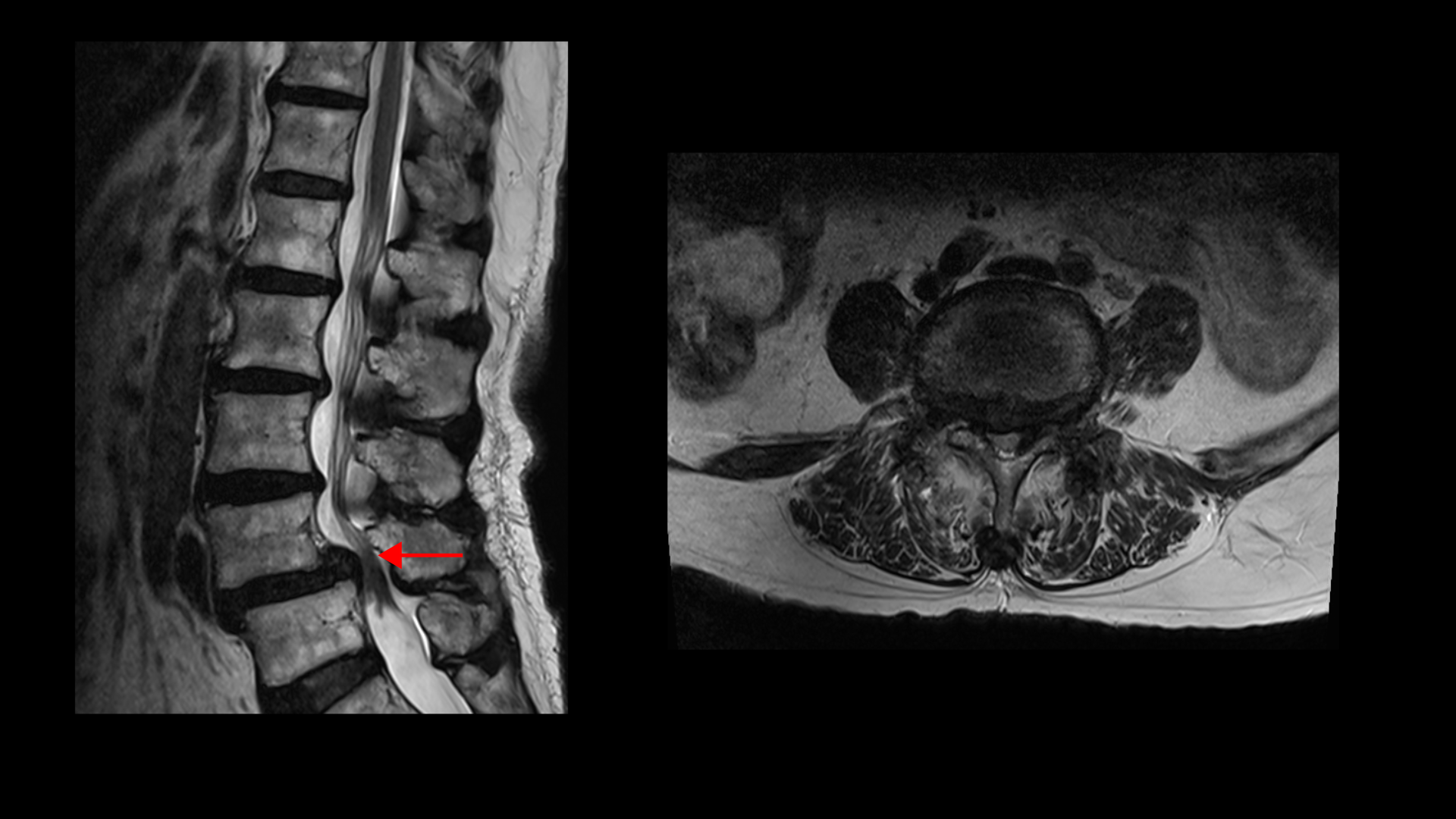
이 환자분 상태를 먼저 설명 드린 후 이분 말씀을 들어보겠습니다. 이분은 협착증을 앓으신 지 약 7년 정도 되셨습니다. MRI를 보면 여러 마디에 퇴행성 디스크가 있고

4번, 5번에는 전방전위증이 있습니다.

전방전위증이 있는 4번, 5번 마디에서는 오른쪽, 왼쪽 신경가지가 나가는 양쪽 추간공이 모두 좁아져 있고

그리고 척추관도 황색인대가 심하게 두꺼워지면서 중심성 협착도 매우 심합니다.

4~5년 전부터 허리와 다리 통증이 심해졌고 걸을 수 있는 거리가 점점 짧아져 올해부터는 100m 정도만 걸으면 쉬어야 되는 상태까지 악화됩니다. 이처럼 협착증은 해가 갈수록 증상이 악화되어 결국은 걸을 수 있는 거리가 점점 짧아져 종국에는 몇 걸음 밖에 못 걷게 되는 것이 특징인데요. 그런데 이렇게 해가 갈수록 협착증 환자의 증상이 나빠지는 걸 MRI에서 신경구멍만 보고 신경이 많이 눌리니까 그런다고만 설명하는 경우가 많습니다. 그러니까 수술해서 신경구멍을 넓혀야 한다는 거죠. 그래서 이 환자분도 신경구멍을 넓히는데 뼈가 밀려 나가 있으니까 나사 박는 유합술을 해야 된다고 대학병원에서 들으셨습니다.

그런데 저희 모커리한방병원은 신경 만이 문제가 아니고 오히려 80세가 넘어갈수록 신경보다 근육 문제가 훨씬 더 중요하다고 말씀 드립니다. 신경구멍이 좁아지는 속도보다 70대 이후 80세가 넘어가면서 근육이 줄어들고 망가지는 속도가 훨씬 더 빠르다고 말이죠. 특히 신경이 자극 받고 눌리는 상태에서는 근육이 위축되고 빠지는 속도가 더 빨라집니다.

이 환자분의 근육을 MRI에서 보면 5번, 1번 마디에서 기립근과 장요근을 체크해봤을 때 기립근의 지방화 정도도 심하고 장요근, 특히 왼쪽 장요근은 거의 형체를 알아보기 어려울 정도로 위축이 심한 상태입니다.

“아프기 시작한 건 7년 정도 됐어요. 걷기도 힘들고 서 있는 건 더 힘들고 오래 앉아 있으면 힘들어요.”

걷기도 힘들고 서 있는 건 더더욱 힘들고 오래 앉아 있으면 힘들어요. 이렇게 아프기 시작한 거는 한 7년 정도 됐어요. 그냥 동네 정형외과로 다니다가 저희 집이 OOOO 대학병원에서 가까우니까 거기를 주로 다녔어요.



“허리하고 다리가 아파서 100m를 걸으면 어디 앉아야 했고 다리에 힘이 없어서 자꾸 주저 앉으려고 했어요.”

가장 불편한 건 허리하고 다리가 아파서 걸을 때 한 100m를 걸으면 어디 가 앉아야 해요. 못 걸었어요. 서 있는 거하고 걷는 게 제일 힘들었고 다리에 힘이 없어서 자꾸 주저 앉으려고 했어요. 여기가 엉덩이에서부터 다리까지 저리고 아파서 거동이 불편했고 거기다가 반대쪽 다리는 저리고 당기고 그랬어요. 이게 한두 가지가 아니었어요. 등도 굽었는데 아프니까 넘어질까 봐 자꾸 숙이게 됐어요. 선생님이 등을 펴라 그러더라고요.



“MRI를 찍으니까 유합 수술 밖에 방법이 없다고 하고, 이 수술로 예전처럼 좋아진다고 생각하면 안 되고 지금보다는 좀 나아진다 이렇게 생각을 하라 그러더라고요.”

시술을 받으러 갔는데 MRI를 찍으니까 수술 밖에는 별 방법이 없다더라고요. 딱 한 마디로 수술 외에는 안 된다 그랬어요. 우리 아들은 이제 ‘엄마 유합이냐 감압이냐’ 그걸 물어보라고 하더라고요. 그래서 물으니까 저는 유합 밖에 안 된다고 하더라고요. 뼈가 물려나지만 않았으면 척추관만 넓혀주면 감압술로 되는데 저는 그건 안되고 유합술을 해야 맞춰서 핀을 꽂아야 하기 때문에 대수술이라는 걸 얘기했어요. 핀을 양쪽으로 4개를 꼽는다고 그랬어요. 대학병원 선생님은 ‘수술하십시오’ 하더라고요. 수술 후 일주일간 입원을 하고 그 후에는 퇴원하면 한 1년은 거동하기가 힘들다고 그러더라고요. 1년이 지나면 내가 그때부터 재활운동을 해야 하는데 그렇다고 꼭 이 수술로 해서 예전처럼 좋아진다 이렇게 생각을 하면 안 되고 지금보다는 좀 나아진다 이렇게 생각을 해라 그러더라고요.



“남편이나 아들이나 가족들이 다 수술을 반대 했어요.”

수술 얘기를 하니까 남편이 펄쩍 뛰고 제 나이가 지금 80인데 1년을 그러면 근육이 다 빠져서 그때는 어떻게 하느냐, 우리 아들은 ‘엄마 유합은 절대 안 된다고, 무서워서 안 된다고 이러더라고요. 그러니까 가족들이 다 반대를 하는 바람에 그렇게 됐던 거예요.



“유명하다는 병원 여기저기 다 돌아다녔어요. 수술을 안 하려고 스테로이드 주사를 맞아봤는데도 다리가 엄청 부어서 오므릴 수도 없었어요.”

우리 아들이 여기저기를 알아봐서 OO 한방병원도 가보고 OOO 척추전문병원도 가봤고 유명하다는 데는 다 돌아다녀봤어요. OO 한방병원은 입원하라고 그래서 다 준비를 해가지고 갔는데, 그 선생님이 입원을 한 달을 하고 ‘치료를 하다 안 되면 수술을 해야 된다’ 이렇게 말씀하셨어요. 그러니까 우리 아들이 전혀 신뢰가 안 간다 하지 마라 그래서 약만 일주일분 타왔어요. 얼마 전에 OOO 척추전문병원에 갔어요. 거기서도 제 사진을 보자마자 수술하라고 그러더라고요. 그래서 수술을 안 하려고 여기 왔다고 하니 스테로이드 주사를 한 번 맞아보겠냐고 물어보더라고요. 맞으면 한 6개월은 편안히 다닐 수가 있다고 그랬어요. 그래서 그 말만 듣고 맞았는데 다리가 엄청 부어서 오므릴 수도 없었어요.



“너무 힘들어서 수술 날짜를 잡았지만 아들이 마지막으로 모커리를 가보자고 해서 오게 됐어요.”

이제 해도 해도 안 되니까, 제가 너무 힘드니까 결국 대학병원에서 수술 날짜를 잡았어요. 7월 10일날. 1년 전에 날짜를 잡은 거예요. 6월 13일에 와서 전체적인 검사를 받고 7월 10일에 수술을 하기로 했어요. 우리 아들이 ‘엄마 모커리를 마지막으로 한번 가보자’고 하며 내 MRI, CT를 가져와서 선생님과 미리 상담을 해서 날 그냥 여기 강제로 끌고 오다시피 했어요. 여기서는 비수술로도 치료가 된다 그러니까 우리 아들이 그 신뢰감에 모커리에 이렇게 입원을 시킨 거죠. ‘나는 한 달 입원이라는 건 상상할 수가 없다’ 그런데 저도 이제 반신반의 하면서 입원을 했어요.

이 환자분 이야기 잘 들으셨나요. 이런저런 비수술 치료를 해봐도 안 되니까 결국 대학병원에 수술 예약까지 해놓은 상태에서 수술 전 마지막으로 아드님의 강력한 권유로 저희 병원을 내원하셨는데요. 뼈가 밀려 나가고 신경이 지나가는 구멍들이 좁아졌는데 어떻게 수술 없이 치료가 가능한지 아직도 이해가 안 되는 분들이 많으시죠.

협착증 환자분들의 나이가 70대, 80대가 넘어갈수록 근육은 점점 빠르게 줄어들고 방사통은 엉덩이와 다리 근육의 심한 위축을 가져옵니다. 이렇게 근육이 빠지고 근육 기능이 망가지면 근육이 허리를 잘 지탱하지 못하기 때문에 신경 눌림이 더 심해지는 겁니다. 또, 근육 자체의 문제로 인한 근육에서 발생하는 만성적인 통증과 힘 빠짐도 심해지구요. 그래서 해가 갈수록 심해지는 통증과 증상들을 신경의 문제로만 생각하는 분들이 계신데 70에서 80세를 넘어갈수록 사실은 근육의 문제가 오히려 더 심해집니다. 그래서 근육을 치료해서 근육이 좋아지는 만큼 협착증 환자분의 증상도 함께 좋아지는 거구요.

그럼 이 환자분의 근육치료는 어떻게 하는 걸까요? 먼저 몸 전체적으로 뭉치고 아픈 근육들을 만지면서 체크합니다. 근육 상태는 MRI에서도 일부 보이지만 직접 만져보는 게 제일 중요합니다.

목부터 등 근육, 허리, 엉덩이, 허벅지, 종아리 근육들을 다 만져보고 어디가 얼마나 굳어있고 뭉쳐 있는지 확인합니다. 또 좌우의 균형이 얼마나 차이 나는 지도 확인합니다. 근육이 많이 굳어있고 뭉쳐있을수록 통증도 심하지만 근육이 제대로 기능하기도 어렵습니다. 또 근 감소가 심한 분들은 근육이 단단히 뭉쳐있기보다는 흐물흐물한 분들이 많습니다. 겉 근육이 흐물흐물하게 느껴지는 분들도 몸 속 깊은 곳의 척추뼈와 붙어있는 심부 근육들은 또 단단히 뭉쳐 있습니다. 이런 굳어 있고 뭉쳐있는 근육들은 침, 약침, 봉침 등으로 풀어줍니다. 또 손으로도 만져서 풀어주는데 이걸 추나요법, 도수치료라고 합니다. 이런 방법으로 하루에도 4~6차례 반복해서 뭉친 근육을 풀어주고 쉬고 풀어주고 쉬고를 반복합니다.

이렇게 2주 이상 근육들을 풀어주면 이 근육들이 이완되면서 통증이 줄어듭니다. 통증이 줄기 시작하면 저강도의 재활 운동을 통해 약해진 근육들의 근 기능 회복 운동을 시작합니다. 뭉친 근육들이 다 풀리고 재활 운동을 통해 약해진 근육들의 기능이 살아나면 협착증 환자분들이 훨씬 더 힘차게 허리를 펴고 일어서고 더 먼 거리를 쉬지 않고 잘 걸을 수 있습니다. 또 허리 주변의 뭉치고 굳어있는 근육들이 이완돼서 풀리면 척추뼈를 덜 잡아당기니까 신경학적 증상도 줄어듭니다. 자, 그럼 이 환자분은 4주간의 근육재활치료 후 얼마나 좋아지실 수 있을까요? 이분의 치료 후 결과가 궁금하시다면 아래 영상을 꼭 보시길 바랍니다.

모커리 척추관협착증 ABCDE 한•양방 협진 근육재활치료법

모커리 척추관협착증 ABCDE 한·양방 협진 재활치료법은 수술 없이 협착증을 치료하는 모커리 고유의 비수술 치료방법입니다. 한쪽 다리의 통증만 있는 초기 협착증부터 다리에 힘이 빠지고 몇 걸음 걷지 못하는 말기 협착증까지 ABCDE 척추관협착증 비수술 치료법으로 치료하고 있습니다. 모커리는 수준 높은 임상연구를 통하여 말기 협착증 환자가 ABCDE 재활치료로 통증 없이 걷는 거리가 11배 증가했다는 것을 과학적으로 객관적으로 증명하여 국제학술지에 논문을 발표했습니다.

모커리한방병원 온라인 진료예약