아파트 쓰레기장에서 오이껍질을 밟으면서 미끄러졌어요. 그래서 너무너무 아프더라고요. 일주일 동안 너무너무 아파서 움직이기가 힘들어요. 눕지도 못하겠고 일어나지도 서지도 못하겠더라고요.
그래서 병원에 가봤어요. 제가 ‘너무너무 아파요’ 이 고통이, 아픔이 너무 심해서 차라리 아이들 두 명 낳고 말지. 이 아픔은 못 참겠다고 그랬거든요. 그래서 정형외과 며칠 다니다가 너무 아파서 종합병원에 가봤어요. MRI를 찍어야 된대요. 그래서 찍고 나서 나중에 갔더니 디스크가 터져버려서 ‘어머니는 수술 아니면 약 없습니다’ 디스크가 터져서 수핵이 흘러내려 가지고 신경을 눌러서 이거는 수술 밖에 약이 없습니다.
집에 와서 가만히 생각해 보니까 저는 수술이 겁나요. 마냥 수술을 해도 좋아진다는 보장도 없고 그래서 이건 내가 수술하면 안 되겠고 다른 방법도 찾아봐야지 하고 계속 인터넷을 뒤져봤어요. 그랬더니 모커리한방병원이 나오더라고요. 이제 그 치료후기들을 보고 병원 의료진 소개 이런 걸 보고 ‘여기라면 내가 치료받을 수 있겠구나’ 하고 왔어요.
허리하고 골반이 동시에 아픈데 이 통증을 점수로 친다면 동시에 아픈 이 통증을 100이라고 봤을 때 출산의 고통은 20% 밖에 안 되는 것 같더라고요. 말도 못 할 정도로 주야로 땀이 줄줄 나더라고요. 다리는 골반과 동시에 아프면서 저릿저릿 하더라고요.
그렇게 아프니까 걷는 게 너무너무 불편해서 제가 꼿꼿이 서서는 다섯 걸음을 못 걷더라고요. 다섯 걸음 정도 걸으면 정신이 없어요. 주저 앉고 싶은 그런 상태였어요. 누워서 일주일 동안 못잤어요. 누워도 아프고 자다가 소변이 마려우면 그때는 막 겁이 나요. 앉는 것도 너무너무 아파서 서기도 앉기도 눕기도 너무너무 아팠어요. 앉아 있어도 아프고 그 고통을 제가 그랬잖아요. 아기 낳는 고통이 20이고 이 고통은 100이라고. 어떤 자세를 해도 아프더라고요.
두 사람 치료후기를 보고 왔는데 저분은 나보다 증상이 더 심한데도 저렇게 나았다고 하는데 나는 더 잘 낫겠다, 나는 저 사람보다 더 잘 낫겠다 그 생각이 들더라고요. 그런데 모커리 치료 받는다고 하니까 말리는 사람이 있었어요. 제가 친구한테 ‘나 수술 안하고 서울 가서 한방치료 하려고’ 그랬더니 이 사람아 무슨 한방치료여 의사가 수술 안 하면 안 된다고 했는데 어찌 이렇게 촌년 같은 소리만 하냐고 그러길래 내가 ‘아이고 나 촌년이니까 그래도 내 마음대로 할 거여’
우리 자식들은 엄마 선택은 항상 옳다고 생각해요. 엄마 선택을 굉장히 존중해줘요. ‘엄마 디스크 터져서 서울에 디스크 치료하러 간다’ 그랬더니 엄마 수술은? ‘아니야 침으로 한방치료 할란다’ 그랬더니 한방치료도 돼요? ‘된단다’ 그러고 그 이상 통화 안 해요.
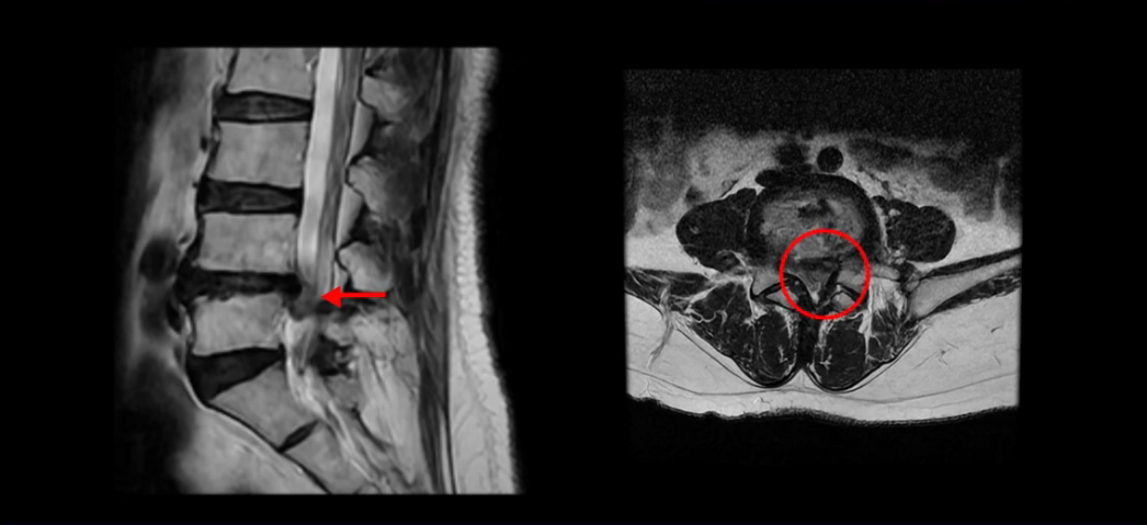
이 환자분에 대해 제가 더 자세히 설명 드리겠습니다. 이분은 아파트 쓰레기장에서 오이 껍질을 밟고 미끄러진 후 허리디스크가 터지면서 극심한 방사통이 발생했습니다.
이분 MRI를 보시면 아주 심하게 디스크가 터져서 밀려나오면서 밑으로 흘러내렸습니다. 단면을 보시면 신경 공간의 거의 대부분을 차지하고 있을 정도로 파열이 심합니다.
그럼에도 불구하고 통증만 극심하지 마비증상은 없는 상태셨습니다. 다시 설명 드리지만 저희 모커리 치료는 디스크 파열로 인해 마비가 있든 없든 크게 치료 결과에 차이가 없습니다. 그러니까 마비증상이 있다고, 또는 마비증상이 생길까 봐 걱정돼서 수술을 서두르시거나 고민하실 필요가 없습니다.
이분은 통증이 너무 심해서 앉는 것도, 서는 것도, 눕는 것도 힘들고, 몇 걸음 걷는 것도 어렵고, 또 밤에 잠도 제대로 못 잘 정도로 큰 고생을 하셨습니다. 병원에서는 수술밖에 방법이 없다는 이야기를 들었지만, 환자분이 생각하시기에는 수술을 해도 좋아진다는 보장도 없으니 다른 방법을 찾아보다가 저희 모커리의 치료후기들을 보고 내원을 결정하셨습니다.
그런데 이 환자분처럼 심한 디스크 파열이 어떻게 수술 없이 한달 만에 좋아질 수 있을까요? 저희 모커리는 여러 영상을 통해 디스크가 심하게 터지면 터질수록 흡수가 더 잘 될 가능성이 훨씬 높다고 계속해서 말씀 드리고 있습니다. 디스크가 심하게 파열될수록 우리 몸 속에서는 밀려나온 수핵을 이물질로 인식해서 이를 녹여 없애버리기 때문에 많이 터지면 터질수록 더 깨끗하게 자연치유 될 가능성이 훨씬 더 높은 겁니다. 그래서 디스크가 심하게 파열된 환자분들이 저희 모커리에 오시면 저희는 자신 있게 말씀 드립니다. 비수술 치료가 잘 될 가능성이 매우 높으니 한 달 정도만 치료에 전념하시라고요. 다시 말씀 드리지만 마비증상이 있는 분들도 결과가 크게 다르지 않습니다.
왜 디스크가 심하게 파열된 환자일수록 흡수도 잘 되고, 따라서 자연치유도 잘 되는지 조금 더 자세히 설명 드리겠습니다. 앞서 설명 드렸듯이 디스크가 심하게 터지면 우리 몸에서는 밀려나온 수핵을 이물질로 인식합니다. 이물질은 우리 몸에 쓸모 없는 조직이기 때문에 밀려나온 디스크 수핵을 우리 몸의 면역 시스템이 염증 반응을 통해 녹여서 없앱니다. 다만 이 밀려나온 디스크 수핵이 녹아서 흡수되어 없어지는 과정이 염증 반응이기 때문에 디스크가 파열되면 통증이 매우 심하게 발생합니다. 그래도 밀려나온 디스크를 녹여 없애는 통증이기 때문에 우리 몸에는 이로운 염증이고 통증입니다. 이런 참기 힘든 극심한 통증은 입원집중치료를 받으면서 충분한 휴식을 취해주면 일반적으로 1주일~열흘 이내에 가라앉으니 너무 걱정하지 않으셔도 됩니다.
일단 참기 힘든 극심한 통증이 어느 정도 참을 만한 통증으로 가라앉으면 디스크 파열 치료는 거의 반 이상 완성됐다고 볼 수 있습니다. 아직 남아있는 통증과 마비증상들은 4주 정도의 기간을 거치면서 염증이 가라앉고 디스크 흡수가 일부라도 진행이 시작되면 통증은 거의 다 사라지고, 마비증상도 풀리게 됩니다. 이렇게 자연적으로 염증이 가라앉고 흡수가 진행되면서 파열된 디스크가 치료되는 것이 재발률도 훨씬 더 떨어지고, 수술 등의 방법처럼 우리 몸에 손상을 주지도 않기 때문에 정말 좋은 치료입니다.
그러면 이런 디스크 파열 치료는 어떻게 진행되는 걸까요? 허리디스크 환자는 신경에 염증이 생기고 극심한 방사통이 발생하니까 통증이 없는 자세를 찾기 위해 온몸을 비틀게 됩니다. 발병 초기에는 24시간 아픈 경우가 많아서 하루 종일 온몸을 비틀다 보면 우리 몸의 근육이 다 틀어지고, 결국 척추가 뒤틀리게 됩니다. 이렇게 틀어지고 불균형하게 뭉치고 단축된 근육들은 오래되고 심해질수록 몸이 삐뚤어지게 만드니까 디스크의 흡수도 방해할 뿐만 아니라 염증이 가라앉는 것도 방해하기 때문에 디스크가 낫지 않고 오래 지속되는 원인으로 작용합니다. 그래서 1달, 길어야 2달 이내 치료가 끝나야 할 디스크 파열이 근육이 심하게 뒤틀리고 몸이 삐뚤어진 사람들일수록 1년, 2년 혹은 그 이상의 시간이 지나도 쉽게 좋아지지 않는 겁니다.
디스크 파열 근육치료는 이렇게 디스크 파열로 인해 극심하게 아픈 환자들의 뭉치고 아픈 근육을 침, 약침, 봉침, 이완추나요법, 도수치료 등을 통해 하루에도 4~5차례 지속적으로 풀어주고 쉬고, 풀어주고 쉬고를 매일 몇 주간 반복하는 겁니다. 이렇게 하루에도 4~5회 동안 뭉치고 아픈 근육을 풀어주고 쉬고, 풀어주고 쉬고 하는 치료를 몇 주간 반복하다 보면 몸이 틀어지는 것을 막아주고, 그 사이에 염증이 가라앉으면서 통증도 가라앉고, 밀려 나온 디스크 수핵이 일부라도 흡수되기 시작하면 마비증상도 풀리게 됩니다. 그래서 이렇게 디스크가 심하게 파열된 환자분들은 치료가 끝난 6개월쯤 후에 MRI를 찍어보면 거의 대부분의 경우에 밀려나온 디스크가 깨끗이 흡수되어 있는 걸 볼 수가 있습니다.
통증이 가라앉는 속도와 마비가 풀리는 속도는 환자분의 근육 상태에 따라 어느 정도 차이가 있을 수 있는데, 전반적인 근육 상태가 좋은 분들은 일주일에서 열흘 정도면 방사통이 사라지고 마비증상이 좋아지는 경우도 많은데요. 이 환자분은 연세에 비해 근력이나 근육 상태가 나쁘지 않았습니다. 그래서 4주를 목표로 치료하면서도 더 빠른 치료 효과가 있지 않을까 기대했는데요. 과연 기대대로 통증이 훨씬 더 빨리 줄어들었을까요? 통증이 너무 심해서 앉는 것도, 서는 것도, 눕는 것도 힘들다고 하셨는데 이런 통증이 어떻게 되었을까요? 걷는 것과 잠잘 때의 고통도 전부 다 사라지셨을까요? 이런 짧은 기간 안에 정말로 모든 통증이 사라지고 마비감도 사라진다면 정말 꼭 수술을 받아야 할까요? 이분의 치료 후 결과가 궁금하시다면 아래 영상을 꼭 보시길 바랍니다
모커리 허리디스크 한·양방 협진 근육 재활치료법은 수술 없이 허리디스크를 치료하는 모커리 고유의 비수술 치료방법입니다. 디스크 통증은 물론 수술을 권유 받을 정도의 마비와 힘 빠짐을 동반한 디스크 파열 등의 중증 허리디스크를 수술 없이 허리디스크 한·양방 협진 근육 재활치료법으로 치료하고 있습니다. 모커리는 심하게 파열된 허리디스크뿐 아니라 수술 후 재발한 허리디스크, 척추유합술 후 재발한 허리디스크 등의 어려운 척추 질환을 비수술로 치료하고 있으며, 이러한 한·양방 협진 근육 재활치료법의 효과를 과학적, 객관적으로 검증하여 해외 유명학회 및 학술지 등에 지속적으로 발표하고 있습니다.

보다 많은 환자분들과 건강정보를 공유하고자 개방형 게시판으로 건강상담을 운영하고 있습니다. 목과 허리 통증•디스크•협착증•교통사고•어깨•무릎 등 궁금하신 질문을 남겨주시면 전문의가 최대한 자세하게 답변 드립니다.