손가락 끝까지 저린 거는 있었어요. 그리고 팔꿈치 쪽 저리고 왼쪽 팔이 저려서 팔꿈치랑 손가락도 저리고 떨림 증상이 있었어요. 등통증, 날개뼈 안쪽 다 아팠는데 등이랑 견갑골 쪽 통증이 심해서 제가 일어나질 못하니까 남편이 안아서 침대에서 기어서 내려오다시피 그렇게 병원 왔었거든요. 처음에는 등이랑 어깨가 아픈 건 줄 알았어요. 그래서 이쪽이 문제라고 생각했는데 그게 나중에 MRI 찍고 보니까 목디스크 문제였더라고요.
고개가 옆으로 돌려지지도 않고 위로 들어지지도 않고 어깨, 등 전체가 다 너무 아프더라고요. 전혀 꼼짝을 못하니까 아예 침대에서도 일어서지를 못하겠더라고요. 통증이 심해서 움직이지 못했던 것 같아요. 조금만 움직여도 아파가지고 뭘 할 수가 없었거든요.
제가 자세가 안 좋았는데 작년에 아기 낳고 육아를 하다 아기를 점점 안고 이러다 보니까 목이 안 좋아졌던 것 같습니다. 그래서 처음에 증상은 거의 움직일 수가 없었어요. 갑자기 여기가 다 굳어서 너무 아프더라고요. 정형외과 갔었거든요. X-ray 찍었는데 제가 목이 안 좋다고 얘기를 하더라고요. ‘일단은 주사 맞으면 바로 좋아질 거예요’라고 했어요. 목 뒤랑 등쪽을 집중적으로 해서 주사 놓고 그렇게 치료를 하더라고요. 도수 치료도 받으면 좋겠다고 해서 도수 치료를 받았고 거기 정형외과에서는 그냥 주사 이런 것만 엄청 놔주더라고요. 주사 맞고 다음 날도 계속 아프더라고요. 전혀 효과를 못 느껴서.
친정 어머니가 근처에 모커리한방병원이 있어서 꾸준히 치료 받고 이러시니까 허리가 많이 좋아지셨는데 엄마가 모커리에 가보라고 해서 오게 된 겁니다. 거북목이 심하다고 근데 이게 단기간에 이렇게 된 게 아니고 장기간에 걸쳐서 형성된 목인 것 같다고 하면서 이거 수술 안 하고 나을 수 있다고 치료를 해보자고 하시더라고요. 이게 과연 나을까 반신반의 하기도 했고 사실 그랬습니다.
이 환자분 X-ray, MRI 보고 간단히 설명 드린 후 왜 목디스크 치료가 허리디스크에 비해 훨씬 더 쉬운지 자세히 설명 드리겠습니다.
이분 X-ray에서 보시다시피 일자목 정도가 아니라 역 c자 형태의 목입니다.

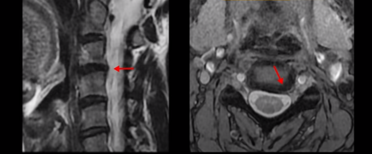
이런 목 형태를 가지면 목이 안 아플 수가 없습니다. 그리고 목에 엄청난 부담을 주기 때문에 디스크가 퇴행되면서 찢어질 가능성이 높아지죠. 이 환자분은 오른쪽과 왼쪽이 모두 저리고 아픕니다. MRI를 보면 5번 6번 디스크가 오른쪽 파열되어 아래로 흘러내려가 있습니다.

더 윗마디 3번 4번을 보면 왼쪽으로 디스크가 밀려나가 있습니다.

그래서 양쪽 어깨와 팔이 다 저리고 아픈 겁니다. 이런 신경이 눌리고 자극되는 목디스크가 왜 우리는 치료가 허리디스크보다 훨씬 더 쉽고 빠르다고 얘기하는 걸까요? 허리에 비해 입원치료 기간이 반 정도로 짧아서 평균 2주 정도 걸립니다. 참고로 이 환자분은 통원치료로 딱 8번 받은 후 이 후기를 찍으셨습니다. 목디스크가 비수술치료 성공률이 높고 빠른 이유는 목이 무게, 즉 하중을 허리에 비해 굉장히 적게 받기 때문 입니다. 그래서 여러분이 만일 수술을 고민하고 있다면, 또 신경주사가 안 듣는다면 정말로 안 해볼 이유가 없는 치료입니다.
그렇다면 어떻게 신경이 눌리는 목디스크가 근육치료로 좋아질 수 있는지, 어떻게 평균 2주라는 빠른 시간 내에 좋아질 수 있는지 설명 드리겠습니다. 거의 모든 목디스크, 목협착 환자, 거의 99%의 환자는 거북목이 있고, 이 거북목으로 인한 심각한 목 근육 문제들을 가지고 있고, 참고로 이 근육 문제들이 목디스크, 목협착증의 발병에 엄청나게 중요한 역할을 합니다.
그래서 목디스크, 목협착증은 목 커브가 정상이고 머리의 위치가 정상인 사람에게는 거의 생기지 않습니다.
거북목이 있으면

목 뒤쪽 근육들은 앞으로 돌출된 머리를 붙잡고 있느라고

엄청난 부담이 생기면서 뭉치게 되고, 목 앞쪽 근육들은 뭉치면서 단축될 수밖에 없습니다.

이런 목의 부담과 압력이 목의 퇴행성 변화를 가속화시켜서 퇴행성목디스크와 목협착이 생기면서 어느 날 신경 눌림 증상이 생기는 겁니다.
이 환자분도 아까 X-ray에서 보여드렸듯이 아주 심한 일자목, 거북목이 있고 그 결과로 목의 거의 모든 마디가 다 퇴행이 진행되어 있죠. 즉 거북목은 모든 목질환, 특히 목디스크, 목협착증의 어머니 질환이며 그래서 목디스크를 치료하기 위해서는 반드시 거북목 때문에 짧아지고 뭉치고 굳고 뒤틀린 목 주변 근육들을 잘 치료해줘야 합니다.
신경이 눌려있으니까 수술해서 풀어줘야 한다는데 그게 근육을 치료해서 좋아질 수 있냐구요? 심하게 뭉치고 짧아져서 목뼈를 잡아당기는 근육이 풀리면 신경이 덜 눌립니다. 이런 내용을 잘 모르는 환자분들에게는 놀라운 얘기일 수 있지만 사실이 그렇습니다.
이런 내용을 잘 모르는 여러분의 이해를 돕기 위해 디스크와 협착증 환자들의 비수술치료 후기 영상을 찍어서 저희 모커리한방병원에서는 매주 유튜브와 인터넷에 치료후기를 올리고 있고 연구 결과를 해외학회 등에 발표하고 있는 겁니다. 이런 간단하면서도 효과적인 치료법이 있다는 걸 모르고 또 못 믿으니까 계속 주사만 맞다가 안 되면 수술까지 받는 겁니다.
이러한 목 근육 치료는 허리에 비해 근육 구조가 단순하고 근육 크기도 작기 때문에 허리에 비해 치료가 훨씬 더 쉬운 편입니다. 그래서 치료기간도 허리에 비해 훨씬 더 짧고, 앞에서 말씀 드렸듯이 입원기간도 2주 정도로 매우 짧은 편입니다 여러분이 만일 목디스크로 수술까지 고민한다면 이런 2주 치료를 안 받아볼 이유가 정말 없지 않겠습니까.
그렇다면 목디스크 근육재활치료는 어떻게 할까요? 치료는 침, 약침, 봉침, 추나요법, 도수치료, 물리치료 등 여러 가지 방법을 통해 목 주변 근육, 특히 목 앞쪽 근육을 집중적으로 치료하게 됩니다. 대부분의 병원에서는 목디스크 비수술치료 시 목 뒤쪽 근육만을 치료하는 경향이 있는데, 그러면 심하게 단축되고 뭉쳐있는 목 앞쪽 근육이 머리를 지속적으로 앞으로 계속 잡아당기기 때문에 제대로 좋아지기가 어렵습니다.
그리고 목 뒤쪽 근육은 치료가 별로 어렵지 않은 반면 목 앞쪽 근육을 풀어주는 것은 굉장히 고난도의 기술인데, 왜냐하면 목 앞쪽 근육 사이로 수많은 신경과 혈관이 지나가기 때문입니다. 따라서 치료 시 시술자가 매우 주의해서 진행해야 합니다.
이렇게 설명 드렸는데도 아직도 목디스크 비수술치료가 가능하다는 걸 못 믿으신다면, 저희 모커리한방병원에서 올려놓은 수많은 목디스크 근육재활치료 후기를 꼭 보시길 바랍니다. 또 이런 생각하시는 분들도 있을 수 있습니다. 목디스크 경증 환자만 치료 가능한 것 아닌지 하고 말입니다. 저희 치료후기를 보시면 아시겠지만 마비와 힘 빠짐까지 있는 환자는 물론 무조건 수술해야 된다라고 들은 환자들도 많습니다. 또 수술 후에도 계속해서 통증에 시달리는 환자들 후기도 있습니다. 그럼 이분의 치료 결과는 어떻게 되었을까요? 이 환자분의 치료 결과가 궁금하시다면 아래 영상을 꼭 보시길 바랍니다.
모커리 목디스크 ABCDE 복합치료법은 수술 없이 목디스크를 치료하는 모커리 고유의 비수술 치료방법입니다. 초기 목디스크는 물론 수술을 권유 받을 정도의 힘 빠짐이나 마비를 동반한 중증 목디스크까지 ABCDE 목디스크 비수술 치료법으로 치료하고 있습니다. 모커리는 일반적으로 목디스크가 허리디스크보다 비수술치료로 더 쉽고 빠르게 치료된다는 것을 연구하여 학술대회 등에 지속적으로 발표하고 있습니다.

보다 많은 환자분들과 건강정보를 공유하고자 개방형 게시판으로 건강상담을 운영하고 있습니다. 목과 허리 통증•디스크•협착증•교통사고•어깨•무릎 등 궁금하신 질문을 남겨주시면 전문의가 최대한 자세하게 답변 드립니다.
| 제목 | |||||||||
|---|---|---|---|---|---|---|---|---|---|
|
|||||||||
|
|||||||||
|
|||||||||
|
|||||||||