목은 계속 담 걸린 것처럼 아프더라고요. 너무 아파서 일을 못했어요. 너무 아파서 일을 못했어요. 그래서 그냥 급하니까 회사 앞에 있는 한의원 같은 데를 갔어요. 물리치료 받고 나면 좀 시원한 것 같다가도 계속 또 굳고 거의 고개를 움직이지 못할 정도가 돼서 ‘안 되겠다 이거는 뭔가 심상치 않은 것 같다’ 그랬죠.
가장 심했을 때 움직이지 못했어요. 누워만 있었어요. 목이 안 돌아갔어요. 움직이지 못했어요. 목 자체를. 그래서 진짜 너무 아팠을 때는 돌아다니는 것도 힘들 정도였어갖고 누워만 있었고 ‘내가 일을 앞으로 할 수 있을까’ 이런 걱정도 있었어요.
집에 베개가 한 5개인가 이래요. 잘 때 많이 힘들어서 베개를 굉장히 많이 바꿨거든요. 잘 때도 꼭 한쪽 방향으로 계속 고개가 이렇게 돌아가는 거예요. 잘 때도 내 몸은 바르지 않구나 그래서 많이 삐뚤어졌다고 생각하고 있었어요.
빠르게 치료 받고 싶어서 전문적인 병원을 찾았는데 친구 남동생이 모커리에서 치료를 잘 받았다고 추천을 해줬어요. 가장 심했을 때 목도 움직이지 못해서 진짜 어그적 거리면서 병원에 왔거든요. 그랬더니 움직이질 못하니까 입원해야 된다고 하셔서 입원치료를 받았어요.
이 환자분 X-ray, MRI 보고 간단히 설명 드린 후 왜 목디스크 치료가 허리디스크에 비해 훨씬 더 쉬운지 자세히 설명 드리겠습니다.
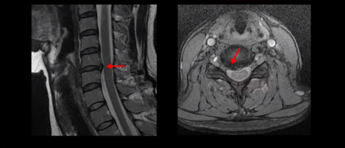
이분 X-ray에서 보시다시피 완전한 일자목과 거북목입니다.

이런 목 형태를 가지면 항상 목이 뻐근하고 담이 걸린 것처럼 아프기 쉽습니다. 그리고 이런 거북목의 형태는 목에 엄청난 부담을 주기 때문에 디스크가 퇴행되면서 언젠가는 찢어지기 쉽습니다. 그래서 결국 5번 6번 목디스크가 찢어지면서 오른쪽으로 밀려나옵니다.

그래서 심한 목통증과 함께 오른쪽 어깨, 오른팔과 손마디가 다 저리고 아픕니다. 아예 목이 안 돌아가고 움직이지 못할 정도로 아파서 빠른 치료를 위해 바로 입원치료를 받으셨는데요. 이분은 목디스크 평균 치료기간인 2주보다 짧은 딱 일주일 입원치료를 받으셨습니다. 어떻게 신경이 눌려 있는 목디스크가 1-2주 만에 좋아질 수 있을까요. 왜 우리는 목디스크가 허리에 비해 훨씬 더 치료가 쉽고 빠르다고 얘기하는 걸까요?
목디스크가 비수술치료 성공률이 높고 빠른 이유는 목이 무게, 즉 하중을 허리에 비해 굉장히 적게 받기 때문입니다. 그래서 여러분이 만일 수술을 고민하고 있다면, 또 신경주사가 안 듣는다면 정말로 안 해볼 이유가 없는 치료입니다.
그렇다면 어떻게 신경이 눌리는 목디스크가 근육치료로 좋아질 수 있는지, 어떻게 평균 2주라는 빠른 시간 내에 좋아질 수 있는지 설명 드리겠습니다. 거의 모든 목디스크, 목협착 환자, 거의 99%의 환자는 거북목이 있고, 이 거북목으로 인한 심각한 목 근육 문제들을 가지고 있고, 참고로 이 근육 문제들이 목디스크, 목협착증의 발병에 엄청나게 중요한 역할을 합니다.
그래서 목디스크, 목협착증은 목 커브가 정상이고 머리의 위치가 정상인 사람에게는 거의 생기지 않습니다.
거북목이 있으면

목 뒤쪽 근육들은 앞으로 돌출된 머리를 붙잡고 있느라고

엄청난 부담이 생기면서 뭉치게 되고, 목 앞쪽 근육들은 뭉치면서 단축될 수밖에 없습니다.

이런 목의 부담과 압력이 목의 퇴행성 변화를 가속화시켜서 퇴행성목디스크와 목협착이 생기면서 어느 날 신경 눌림 증상이 생기는 겁니다.
이 환자분도 아까 X-ray에서 보여드렸듯이 아주 심한 일자목, 거북목이 있고 그 결과로 목의 거의 모든 마디가 다 퇴행이 진행되어 있죠. 즉 거북목은 모든 목질환, 특히 목디스크, 목협착증의 어머니 질환이며 그래서 목디스크를 치료하기 위해서는 반드시 거북목 때문에 짧아지고 뭉치고 굳고 뒤틀린 목 주변 근육들을 잘 치료해줘야 합니다.
신경이 눌려있으니까 수술해서 풀어줘야 한다는데 그게 근육을 치료해서 좋아질 수 있냐구요? 심하게 뭉치고 짧아져서 목뼈를 잡아당기는 근육이 풀리면 신경이 덜 눌립니다. 이런 내용을 잘 모르는 환자분들에게는 놀라운 얘기일 수 있지만 사실이 그렇습니다.
이런 내용을 잘 모르는 여러분의 이해를 돕기 위해 디스크와 협착증 환자들의 비수술치료 후기 영상을 찍어서 저희 모커리한방병원에서는 매주 유튜브와 인터넷에 치료후기를 올리고 있고 연구 결과를 해외학회 등에 발표하고 있는 겁니다. 이런 간단하면서도 효과적인 치료법이 있다는 걸 모르고 또 못 믿으니까 계속 주사만 맞다가 안 되면 수술까지 받는 겁니다.
이러한 목 근육 치료는 허리에 비해 근육 구조가 단순하고 근육 크기도 작기 때문에 허리에 비해 치료가 훨씬 더 쉬운 편입니다. 그래서 치료기간도 허리에 비해 훨씬 더 짧고, 앞에서 말씀 드렸듯이 입원기간도 2주 정도로 매우 짧은 편입니다 여러분이 만일 목디스크로 수술까지 고민한다면 이런 2주 치료를 안 받아볼 이유가 정말 없지 않겠습니까.
그렇다면 목디스크 근육재활치료는 어떻게 할까요? 치료는 침, 약침, 봉침, 추나요법, 도수치료, 물리치료 등 여러 가지 방법을 통해 목 주변 근육, 특히 목 앞쪽 근육을 집중적으로 치료하게 됩니다. 대부분의 병원에서는 목디스크 비수술치료 시 목 뒤쪽 근육만을 치료하는 경향이 있는데, 그러면 심하게 단축되고 뭉쳐있는 목 앞쪽 근육이 머리를 지속적으로 앞으로 계속 잡아당기기 때문에 제대로 좋아지기가 어렵습니다.
그리고 목 뒤쪽 근육은 치료가 별로 어렵지 않은 반면 목 앞쪽 근육을 풀어주는 것은 굉장히 고난도의 기술인데, 왜냐하면 목 앞쪽 근육 사이로 수많은 신경과 혈관이 지나가기 때문입니다. 따라서 치료 시 시술자가 매우 주의해서 진행해야 합니다.
이렇게 설명 드렸는데도 아직도 목디스크 비수술치료가 가능하다는 걸 못 믿으신다면, 저희 모커리한방병원에서 올려놓은 수많은 목디스크 근육재활치료 후기를 꼭 보시길 바랍니다. 또 이런 생각하시는 분들도 있을 수 있습니다. 목디스크 경증 환자만 치료 가능한 것 아닌지 하고 말입니다. 저희 치료후기를 보시면 아시겠지만 마비와 힘 빠짐까지 있는 환자는 물론 무조건 수술해야 된다라고 들은 환자들도 많습니다. 또 수술 후에도 계속해서 통증에 시달리는 환자들 후기도 있습니다. 그럼 이분의 치료 결과는 어떻게 되었을까요? 이 환자분의 치료 결과가 궁금하시다면 아래 영상을 꼭 보시길 바랍니다.
모커리 목디스크 ABCDE 복합치료법은 수술 없이 목디스크를 치료하는 모커리 고유의 비수술 치료방법입니다. 초기 목디스크는 물론 수술을 권유 받을 정도의 힘 빠짐이나 마비를 동반한 중증 목디스크까지 ABCDE 목디스크 비수술 치료법으로 치료하고 있습니다. 모커리는 일반적으로 목디스크가 허리디스크보다 비수술치료로 더 쉽고 빠르게 치료된다는 것을 연구하여 학술대회 등에 지속적으로 발표하고 있습니다.

보다 많은 환자분들과 건강정보를 공유하고자 개방형 게시판으로 건강상담을 운영하고 있습니다. 목과 허리 통증•디스크•협착증•교통사고•어깨•무릎 등 궁금하신 질문을 남겨주시면 전문의가 최대한 자세하게 답변 드립니다.
| 제목 | |||||||||
|---|---|---|---|---|---|---|---|---|---|
|
|||||||||
|
|||||||||
|
|||||||||
|
|||||||||