이분 MRI 보면서 더 자세히 설명드린 후, 왜 이분처럼 심하게 파열된 디스크일수록 오히려 치료가 더 쉽고 잘 되는지 말씀 드리겠습니다.
MRI를 보면 이분 5번 1번 디스크가 심하게 터져서 밀려 올라가 있습니다.

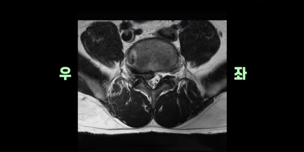
횡단면을 보면 우리 병원 치료 후기에 있는 다른 디스크 파열 환자분들에 비해서는 파열이 덜 심해 보일 수도 있지만,

이분은 파열이 오른쪽으로 치우쳐 신경이 빠져나가는 추간공을 완전히 막고 있습니다.

다른 신경 구멍들은 열려있는데 비해 5번 1번 구멍은 까맣게 막혀있습니다.

이렇게 심하게 신경가지가 눌리니까 극심한 통증은 당연하고 발목에 마비가 생겨 힘이 빠지는 족하수 증상까지 생겼습니다.
그런데 저희가 디스크 파열이 심하면 심할수록 치료가 잘 된다고 말씀 드리는 이유 첫 번째는 디스크가 심하게 터질수록 흡수가 더 잘 되기 때문입니다. 심하게 밀려나온 디스크 수핵은 우리 몸에서 이물질로 인식되기 때문에 우리 몸의 면역시스템이 녹여서 없애버립니다. 그래서 디스크 파열이 심하면 심할수록 흡수가 더 잘 됩니다. 이에 대한 자세한 내용은 아래 영상을 참고하시길 바랍니다.
두 번째, 디스크가 심하게 터진 분들은 거의 대부분 통증이 너무 심하고, 또 이분처럼 족하수 같은 마비증상까지 있기 때문에 모든 일상생활을 즉시 다 포기합니다. 출근할 생각도 하지 않고, 학생이라면 공부할 생각도 하지 않습니다. 일단은 너무 아프기 때문에 무조건 누워서 쉬면서 입원치료를 받아야겠다고 생각합니다. 이분은 경찰공무원이신데 직장에서 동의해주셔서 입원치료가 가능했습니다. 이렇게 입원해서 누워서 쉬면서 치료받기 때문에 회복이 가능한 겁니다. 그런데 파열이 심하지 않아 조금 덜 아픈 환자들 또는 신경주사 맞거나 진통제 먹고 어느 정도 통증을 버틸 수 있는 분들은 이전에 하던 일상생활을 그대로 지속합니다. 디스크가 찢어졌는데도 출근하고 등교해서 하루 종일 앉아있고, 서서 걸어 다니고, 허리를 구부렸다 폈다 합니다.
이게 어떤 거랑 같냐면, 우리 손에 찢어진 상처가 났다고 가정해보세요. 칼에 손을 베이거나 했을 때 손상이 회복되지 않을까 봐 걱정하는 사람은 없습니다. 시간이 지나면 찢어진 상처가 붙고 다시 회복되게 되어 있습니다. 그런데 디스크가 파열됐는데도 일하러 가고, 공부하러 가고, 아픈 허리와 다리를 붙잡고 앉아있고 서 있는 것은 손에 찢어진 상처를 가만히 놔두지 않고 날마다 그 찢어진 상처를 손가락으로 다리 벌리고 문지르고 누르고 있는 것과 같습니다. 그러면 상처가 치료가 되겠습니까? 당연히 손상이 회복되지 않겠죠. 신경에 염증이 있는데 여기를 계속 자극하는 것이기 때문에 한 달 정도면 가라앉아야 할 염증이 가라앉질 않는 겁니다.
이 과정에서 어떤 일이 생기냐면, 방사통이 심한 분들은 자꾸 안 아픈 자세를 찾으려고 하다 보니까 대부분 몸이 다 틀어져버립니다. 이렇게 몸이 다 틀어져버리면 디스크 손상으로부터 잘 회복되지 않습니다. 흡수돼야 될 디스크도 잘 흡수되지 않고, 가라앉아야 될 염증도 잘 가라앉지 않습니다. 이에 대한 자세한 내용은 아래 영상을 참고하시길 바랍니다.
그래서 오히려 디스크가 심하게 터져서 일상생활을 포기하고 누워서 쉬면서 치료받는 환자분들이 그렇지 않은 사람보다 치료가 더 쉽고 빠르다고 말씀 드리는 겁니다.
방사통이 심해서 앉고 서고 걷는 게 다 안 되고 발목에 마비증상까지 있으셨는데 이런 분들이 당연히 일상생활이 안 되니까 비수술 치료를 하려면 무조건 입원치료를 받아야 합니다. 입원해서 반드시 누워서 쉬어줘야 합니다. 또 이런 분들은 너무나도 심하게 아프기 때문에 주변 근육이 다 뭉치고 굳어버리고 뒤틀리게 됩니다.
그러면 입원해서 어떤 치료를 받을까요? 허리주변의 뭉치고 뒤틀리고 방사통으로 아픈 근육들을 침, 약침, 봉침, 추나요법, 도수치료, 물리치료, 운동치료 등 근육에 할 수 있는 거의 모든 치료를 총동원해서 하루에도 4~5번씩 풀어주고 쉬고, 풀어주고 쉬고, 풀어주고 쉬고를 반복합니다. 이런 집중적이고 반복적인 치료를 통해 뭉치고 굳은 근육을 풀어줘서 몸이 틀어지지 않도록 해주고 그렇게 치료를 하다 보면 한 달 정도 지나면 염증은 자연스럽게 가라 앉고 찢어진 디스크는 회복될 가능성이 매우 높습니다. 마비증상도 디스크가 조금씩 흡수되기 시작하면서 좋아질 가능성이 매우 높습니다.
저희 모커리한방병원에서는 이런 치료를 매번 하고 있기 때문에 저희에게는 너무나 자연스러운 과정이지만 환자를 한 달씩 지켜보면서 근육재활치료를 해보지 않으면 디스크 파열 회복과정이 이렇게 이루어진다는 걸 일반인은 물론 수술하는 의사들도 알 수가 없습니다. 원래 디스크라는 질환은 손상입니다. 손상은 시간이 지나면 우리 몸에서 무조건 복구되게 되어 있습니다. 저희 치료라는 건 이런 손상된 디스크가 잘 회복될 수 있도록 도와주는 겁니다. 디스크가 회복되는 과정에서 이 상처가 계속 재손상을 받고 근육이 심하게 뭉치면서 몸이 틀어져버리고 그런 과정에서 염증이 만성화 되지 않도록 입원치료를 통해 눕혀놓고 쉬면서 뭉친 근육들을 풀어주는 치료를 반복하는 겁니다.
그럼 이분의 치료 결과는 어떻게 됐을까요? 약 한 달 동안 입원치료를 받으셨는데 통증이 너무 심해서 앉고 서고 걷는 게 다 힘들 정도였는데 4주 만에 통증이 좋아져서 일상생활로 복귀할 수 있었을까요? 또 마비증상도 호전되었을까요? 이분 4주 입원치료 후 통증이 다 사라졌고 다리의 마비도 다 풀리면서 발목에 힘이 들어가니까 똑바로 걷는 정상 보행이 가능하다고 말씀하셨습니다. 입원치료 시작한 지 3일째부터 통증이 줄어들기 시작해서 2주차에 다리 감각이 돌아오고 3주차에 통증이 다 좋아졌다고 말씀하셨습니다. 그래서 4주 입원치료 종료하고 퇴원하셨는데요. 디스크 파열 치료의 적기인 골든타임은 디스크 파열이 된 직후 2개월 이내입니다. 이때가 디스크 흡수도 가장 빠르고 잘 될 수 있는 시기입니다.
여러분이 만일 디스크 파열로 마비가 있고 극심한 방사통에 시달리고 있고 수술해야 하는지 고민하고 계신다면 지금 바로 MRI를 들고 저희 모커리에 내원하셔서 상담을 받아보시길 바랍니다. 이분의 치료후기 결과가 궁금하시다면 홈페이지 내 <치료후기>에서 ‘완쾌 78번째 이야기’를 보시길 바랍니다.
모커리 허리디스크 ABCDE 한·양방 협진 재활치료법은 수술 없이 허리디스크를 치료하는 모커리 고유의 비수술 치료방법입니다. 디스크 통증은 물론 수술을 권유 받을 정도의 마비와 힘 빠짐을 동반한 디스크 파열 등의 중증 허리디스크를 수술 없이 ABCDE 허리디스크 비수술 치료법으로 치료하고 있습니다. 모커리는 심하게 파열된 허리디스크 뿐 아니라 수술 후 재발한 허리디스크, 척추유합술 후 재발한 허리디스크 등의 어려운 척추 질환을 비수술로 치료하고 있으며, 이러한 ABCDE 치료법의 효과를 과학적, 객관적으로 검증하여 해외 유명학회 및 학술지 등에 지속적으로 발표하고 있습니다.

보다 많은 환자분들과 건강정보를 공유하고자 개방형 게시판으로 건강상담을 운영하고 있습니다. 목과 허리 통증•디스크•협착증•교통사고•어깨•무릎 등 궁금하신 질문을 남겨주시면 전문의가 최대한 자세하게 답변 드립니다.
| 제목 | |||||||||
|---|---|---|---|---|---|---|---|---|---|
|
|||||||||
|
|||||||||
|
|||||||||
|
|||||||||