디스크내장증 근육성방사통 허리기능재활치료후기-허리와 엉덩이가 아파 앉을수가 없고 양쪽다리가 저리고 아픈 환자분

“5분도 앉아 있기 힘들었고 앉아 있을 때 양쪽 발저림이 있었어요”

한 5분도 앉아 있기 힘들었죠. 심할 때는 그냥 앉자마자 엉덩이부터 저려서 앉아 있을 때가 최악이어서 아무것도 앉아서는 못 했죠. 밥도 서서 먹고. 그리고 앉아 있을 때 저림이 발가락까지 오더라고요. 오른쪽이 더 심하긴 했는데 왼쪽도 같이 오고. 문제는 아프다고 계속 누워 있었거든요. 한 거의 2개월을 누워 있었더니 근육이랑 살이 다 빠져 갖고 더 아픈 거예요.

“걸을 때도 발가락이 쪼이는 느낌이 있었고 걷는 것도 불편했어요”

걸을 때도 엄지 발가락이 약간 쪼이는 느낌, 엄지발가락에 피 안 통하는 느낌이 있었고 아팠어요. 오른쪽이 더 심하긴 했는데 왼쪽도 양쪽 다 느껴졌어요. 앉는 것도 불편하고 걷는 것도 불편했어요.

“누워 있을 때도 양쪽 발이 다 저리고 아파서 잘 못 잤어요”

누워 있을 때도 엄청 아팠어요. 누워 있어도 저리고, 옆으로 누워도 아프고, 가만히 있어도 아프고 진짜 계속 아팠어요. 양쪽 다 발이 저렸어요. 오른쪽이 더 심하긴 했는데 그래도 양쪽 다 아팠어요. 허리랑 다리랑 같이 아프기 시작하면서 잘 때 욱신욱신해서 잘 못 잤어요.

“허리가 안 좋아서 필라테스를 몇 회 하다 보니까 허리가 더 아프고 다리까지 저리게 됐어요”

거의 1년 반 정도 됐는데 원래 조금 허리가 안 좋아서 필라테스를 등록해서 몇 회 하다 보니까 허리가 더 아픈 거예요. 갑자기 다리까지 저리고, 양쪽 다리가 저리고 허리가 아파서 뭔가 이제 큰일이 났다 싶었죠.

“근육이 너무 없어서 그런가 하며 운동에 더 매달렸는데 오히려 운동하고 증상이 더 악화되더라고요”

처음에는 이제 근육이 너무 없어서 그런가 하며 그래서 운동에 더 매달렸죠. 허리에는 주변에서는 무조건 운동이다, PT 받아야 된다 해서 운동을 더 했는데 어느 순간부터 더 악화되는 거예요. 그래서 이게 뭐지? 운동이 답이라고 생각하고 운동을 엄청 열심히 했는데 계속 악화되니까 그때는 좀 멘탈이 붕괴되더라고요.

“여러 병원들에서 말이 다 달랐어요. 어느 병원에서는 디스크내장증인 것 같고 인공디스크를 삽입하는 수술까지 얘기했어요”

대학병원에서는 디스크가 있으니 자세 교정하라고 했어요. 그리고 어떤 다른 병원에서는 디스크내장증인 것 같고 ‘이건 어려운 병이고 모호하다’ 이런 경우가 흔하진 않은데 시술이나 아니면은 인공디스크를 삽입하는 경우도 있다, 이렇게 옵션을 말씀해 주시더라고요. 인공디스크나 인공디스크 수술 그런 걸 말씀 하시길래 겁먹었고 또 다른 병원에서는 디스크 증상이랑 다리 아픈 거랑 연관이 안 된다, 신경정신과를 가보라는 말을 듣고 막 울었죠. 내가 느끼는 거는 진짜 아프고 진짜 거짓말이 아닌데 여러 병원에서는 그런 말을 하시니까.

“가는 병원마다 신경주사를 맞았어요. 2년에 걸쳐 10번 정도 받았는데 주사효과가 하나도 없었어요”

신경주사는 한 2년에 걸쳐서 10번 엄청 많이 받았죠. 왜냐하면 가는 데마다 무조건 3번 정도는 맞아야 된다. 만성으로 번지면 더 악화되고 더 위험하니까 미리 초반에 잡는 게 중요하다고 말씀하셔서. 이 병원, 저 병원 다니다 보니까 “우리 병원에서 한번 맞아보자. 내가 신경주사 놓으면 좀 다를 수가 있다” 이제 이런 식으로 말씀하시니까. 저는 주사효과는 하나도 없었어요.

“신경주사 효과가 없어도 절박하니까 계속 맞았어요”

빨리 급한 불을 꺼야 되는데 조급함이 컸죠. 그냥 동네 병원 가서 주사 맞자고 하니까 그러면 증상이 없어진다고 금방 하루 이틀이면 낫는다고 하니까 신경주사 효과가 없으니 이제 시술을 해야 되나 수술 해야 되나 이런 생각을 하는 거죠. 고주파 신경성형술이고 그런 거. 뭐 병원에서 시술하면 나을 수도 있다. 근데 장담은 못 한다. 이런 얘기를 들으니까 더 불안하고 그래도 나는 막상 아프니까 뭐라도 하고 싶고 그랬어요.

“우연히 모커리 치료후기를 보게 됐는데 저랑 증상이 비슷한 분들이 계셔서 영상을 보고 오게 됐어요”

허리 운동, 비수술 이런 거 검색해 보다가 우연히 치료후기 영상 하나 떴더라고요. 그래서 치료후기들을 봤는데 증상이 비슷한 분들이 계셔서 설마, 근데 한방병원이라고 하니까 솔직히 저는 한방병원은 어르신들이 가는 데라고 생각해서 설마 했는데 이제 젊으신 분들도 계시고 저랑 증상이 비슷한 분들도 있고 저는 어차피 더 이상 할게 없으니까 그래서 솔직히 반신반의 하며 모커리에 연락하게 됐죠. 왜냐하면 모커리 비수술 치료밖에 옵션이 없었잖아요. 할 거 운동도 해보고, 병원도 가보고, 체형 교정 같은 것도 받아보고 이것저것 많이 해봤는데 되는 게 아무것도 없으니까 지푸라기라도 잡는 심정으로 왔죠.

저희 모커리한방병원은 디스크내장증은 정말 잘못된 진단이며 디스크 문제가 아닌 허리 기능의 문제, 특히 근육, 인대, 힘줄의 경직이나 미세한 손상에 의한 기능적 이상이 원인이고 굳이 현존하는 진단명에서 찾는다면 아주 심한 형태의 근막통증증후군에 훨씬 더 가깝다고 말씀 드리고 있습니다. 그래서 혹시라도 디스크내장증 진단을 받으신 분들은 자세히 보시면서 왜 아픈 건지, 치료는 어떻게 하고 관리는 어떻게 해야 하는 건지 자세히 보시길 바랍니다.

우선 이분의 MRI를 보고 먼저 설명을 드린 후 이런 환자분들의 통증의 원인은 무엇인지, 그리고 치료는 어떻게 해야 하는지 자세히 설명 드리겠습니다.

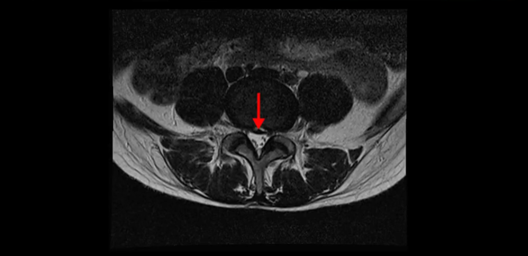
이분 MRI를 보시면 두 마디의 퇴행성디스크가 있습니다. 그리고 디스크가 조금씩 밀려 나와 있고요. 그런데 디스크 탈출 정도는 두 마디 다 심하지 않습니다. 4번 5번에는 디스크 탈출이 약간 있고,

척추관협착도 약간 진행이 되고 있고요.

5번 1번은 디스크 탈출이 가운데 쪽으로 살짝 있습니다.

또한 양쪽 신경 가지가 빠져나가는 추간공은 매우 넓은 상태입니다.

중요한 것은 이 정도 경미한 탈출과 협착으로는 양쪽 다리가 저리고 아플 수가 없습니다.

그리고 만약에 이 디스크가 급성으로 찢어진 것이라면 아주 심한 디스크성 통증이 있겠죠. 기침이나 재채기를 하면 심하게 아프고 허리를 조금만 구부려도 아주 날카로운 통증들이 생길 겁니다. 그런데 이분은 이런 증상이 전혀 아닙니다. 디스크의 돌출 정도와 협착이 전혀 심하지 않기 때문에 이분이 가지고 계신 양쪽 다리 저림, 특히 이분은 누워있을 때도 양쪽 다리가 저리다고 하는데, 디스크 때문에 그런 증상은 생길 수가 없습니다. 또 이 디스크는 오래된 디스크, 이미 찢어진 섬유륜이 아문 디스크이고, 그러니까 이분은 기침이나 재채기를 못하는 증상이 없는 거죠. 그 다음에 허리를 구부릴 때 뻐근한 증상은 있지만 아주 날카로운 통증은 없습니다.

이처럼 이분의 가벼운 디스크 탈출은 이미 오래 전에 진행되었고 섬유륜 자체는 이미 아문 상태인데도 디스크내장증을 진단받은 환자들 중에는 본인이 섬유륜 파열 환자라고 끝까지 믿는 분들이 많습니다. 다시 말하지만 디스크내장증이라는 진단을 받은 환자들 거의 대부분 섬유륜 파열 증상이 아닙니다. 진단이 잘못되면 어떤 치료를 받아도 좋아질 수 없습니다. 그럼 이분은 다른 여러 병원에서 어떤 얘기들을 들었을까요?

이분은 대학병원에서는 그냥 디스크다, 디스크성 통증이다. 이런 얘기만 들었고, 다른 어떤 병원에서는 디스크내장증이다, 결국은 치료를 하려면 인공디스크로 바꾸는 수술을 해야 된다라고 들으셨습니다. 인공디스크 수술, 그러니까 디스크를 없애고 새로운 인공디스크를 넣자라고 얘기하는 거라 유합술을 하자는 것과 거의 같은 얘기입니다. 또 어떤 병원에서는 이렇게 얘기합니다. 지금 가지고 있는 증상은 이 디스크로 인한 증상이 아니다, 이 디스크와 양쪽 다리가 저리고 아픈 것과는 매칭이 안 된다. 즉 디스크가 통증의 원인이 아니라는 것이죠. 또 어떤 병원에서는 신경 정신과를 가봐라라고 했다고 합니다. 그 병원도 이분의 MRI와 다리 증상이 연관이 안 되기 때문에 다른 정신과적인 문제가 원인일 거라는 얘기를 한 겁니다.

그럼 MRI를 봤으니까 이제 이 환자의 증상은 실제 왜 생기고 어떤 문제 때문에 아픈지에 대해서 차분히 설명을 드리도록 하겠습니다. 이 환자분의 진짜 통증의 원인은 무엇일까요? 이건 디스크의 문제가 아닙니다. 이 환자분의 진짜 통증의 원인은 허리의 기능이 완전히 무너진 겁니다. 허리의 기능 중에 가장 중요한 부분을 차지하는 게 근육인데, 일단은 근육 상태가 매우 좋지 않습니다. 그건 뭘 보고 알 수 있냐면, 이분은 앉지 못하고 양쪽 다리가 저리는 증상 발병 이전에도 아주 오랫동안 항상 허리가 뻐근하고 좋지가 않은 상태였습니다. 아주 오랜 기간 허리가 뻐근하고 안 좋은 상태였는데, 1년 반 전 어느 날 무리한 근력 운동을 한 후에 허리와 근육의 기능적인 문제가 한계선을 넘어가니까 더 심한 증상들이 쏟아져 나오는 거죠.

허리 기능의 가장 중요한 부분이 허리를 지탱하는 건데, 우리 허리가 가장 부담을 받는 자세가 앉는 겁니다. 그래서 이렇게 허리 기능이 무너지고 망가진 환자들의 가장 첫 번째 중요한 증상이 앉지를 못하는 겁니다. 앉을 때 허리가 지탱을 해줘야 되는데 지탱을 하지 못하니까 허리나 엉덩이가 아프고 다리까지 저린 것이죠.

이분 MRI를 보시면 퇴행성디스크가 있고 약간의 협착이 있지만 이 정도의 퇴행성디스크와 협착으로는 신경이 눌려서 양쪽 다리가 저리고 아픈 증상이 나올 수가 없습니다. 그래서 MRI와 이 환자분의 다리 증상이 매치가 안 된다고 하는 의사들이 많은 겁니다.

이 환자분의 통증의 진짜 원인이 허리의 기능성 문제라고 하는 부분은 사실은 이분의 치료 과정에서 완벽하게 드러납니다. 저희는 이런 환자분들의 문제는 허리의 기능이 완전히 무너진 것이기 때문에 어떻게 치료를 해야 되냐면, 일단은 무조건 쉬어줘야 됩니다. 근데 계속 누워서 쉬기만 하면 허리 기능이나 근육이나 근력이 더 약해지겠죠. 그래서 아주 가벼운, 최소한의 허리 기능과 근력과 근육을 유지할 수 있는 정도의 운동을 해줘야 합니다. 그리고 기능이 살아나는 만큼 그 운동의 강도도 늘려갈 수 있는 겁니다.

근데 이 환자분이 어떤 말씀을 하냐면, 평소에도 이 환자분은 본인의 근육이 약하다고 느끼고, 또 주변에서도 많이 얘기를 들어서 꾸준하게 운동을 합니다. 어떤 운동을 했겠습니까? 당연히 근력 운동을 했죠. PT도 받고 이런저런 근력 운동을 인터넷이나 유튜브를 보고 따라 합니다. 그럼 어떻게 되겠습니까? 허리 기능이 완전히 무너진 상태에서 근력운동을 하니까 더 아프고, 또 쉬면 좋아지고.. 이걸 1년 반 동안 반복하는 겁니다.

근데 이런 양쪽 다리 방사통을 느끼는 분들이 가진 공통적인 특징이 있습니다. 저희가 수많은 이러한 증상의 환자분들을 치료하면서 알게 된 내용인데, 10명 중에 9명은 예민합니다. 그 예민하다는 게 어떤 의미냐면 이런 환자분들이 일단은 빨리 좋아져야 된다, 지금 당장 무언가를 해서 빨리, 그리고 완벽하게 모든 증상이 사라져야 된다는 생각이 매우 강합니다. 그래서 치료를 받든지 운동을 하든지 무언가를 계속 빨리 해야 한다는 강박증이 있습니다. 그 강박증 때문에 편하게 쉬지 못하는 특징들을 가지고 있습니다. 그럼 이미 어떻게 해야 좋아질지 해결책이 나오지 않았습니까?

이런 환자분들은 일상생활을 완전히 중단하고 푹 쉬게 한 상태에서 허리의 근육이나 근력 기능이 떨어지지 않도록, 또 서서히 기능을 회복시키는 아주 가벼운 운동들을 해줘야 합니다. 그리고 허리 기능과 근육 기능이 떨어졌다는 얘기는 허리, 골반 주변의 근육들이 심각하게 뭉치고 굳고 불균형이 생겼다는 얘기입니다. 그래서 매일 4회 이상 그 근육들을 한방, 양방의 다양한 치료방법으로 풀어주고 쉬고 가볍게 운동하고를 반복하는 겁니다. 굳어있고 뭉치고 뒤틀린 근육들이 풀리고 가벼운 재활운동을 통해 허리의 기능이 회복되면 통증도 줄어들고, 앉아있을 수 있는 시간도 늘어납니다. 보통은 1~2주 정도 지나면 근육치료와 휴식의 효과, 재활운동의 효과가 나타나면서 허리가 편해지기 시작하고, 4주 정도 되면 통증이 많이 좋아지면서 치료가 끝납니다.

그런데 중요한 건 뭐냐면, 이런 분들이 통증이 발병하고 나서 6개월이건 1년이건 어떤 치료를 받건 단 한 번도 이 정도의 호전 효과를 본 적이 없다는 겁니다. 이분 역시 통증이 나타난 지 1년 반이 됐습니다만, 그 어떠한 치료를 받아도 호전 효과를 보지 못했다고 하셨습니다. 그러면 어떠한 치료를 받든 어떤 운동을 했든 이 정도 수준의 호전 효과를 보이지 않았다면, 저희가 얘기하고 있는 허리 기능이 망가져서 이러한 증상이 나온다가 맞는 것 아닙니까? 이 환자분은 이런 얘기를 합니다. ‘나는 한 번도 편하게 쉬지를 못했다. 왜냐하면 운동이나 치료나 무언가를 빨리 하지 않으면 허리가 더 약해질 것 같고, 그러면 허리가 영영 더 좋아질 수 없을 것 같다’라는 그런 강박이 있었다구요.

본인의 몸을 한시도 편하게 내버려 두질 않고 계속 괴롭히고, 그나마 좀 쉴 때도 강박 때문에 단 한 번도 맘이 편한 적이 없었다고 얘기합니다. 디스크내장증을 진단받은 환자들이 이걸 깨닫는 게 회복할 수 있는 유일한 길입니다. 그런데 대부분의 환자는 어떻게 합니까? 계속 기능이 떨어진 허리를 가지고 운동하고 자극적인 치료를 하고 괴롭히고 또 아프니까 어쩔 수 없이 쉬었다가 조금만 좋아지면 또 자극적인 치료를 받고 또 운동을 해서 허리를 혹사시키고 다시 아프고… 이걸 무한 반복하고 있는 겁니다.

이 환자분은 4주 입원치료하고 퇴원하셨는데, 이분의 치료 결과는 어떻게 됐을까요? 말씀 드린 대로 통증이 1년 반 만에 처음으로 상당부분 좋아지셨을까요? 본인이 문제점이 뭐라는 걸 확실히 깨닫고 앞으로 관리나 운동을 잘할 수 있는 자신감이 생겼을까요? 이분의 치료 후 결과가 궁금하시다면 아래 영상을 꼭 보시길 바랍니다.

디스크내장증 의심 환자의 비수술 허리기능재활치료이야기

▼앉으면 즉시 허리 엉덩이통증 좌골신경통 치료후기, 비수술치료 완쾌 58번째 이야기▼
▼근육문제로 인한 양쪽 다리저림 재활치료 후기, 비수술치료 완쾌 24번째 이야기▼
▼척추협착증과 디스크로 많이 오진되는 근감소증 근육재활치료후기, 비수술치료 완쾌 29번째 이야기▼
▼ 근육문제, 근육이 원인인 양쪽 다리저림 재활치료 후기, 비수술치료 완쾌 17번째 이야기▼

모커리한방병원 디스크 내장증 ABCDE 한·양방 협진 재활치료법

모커리 디스크내장증을 진단 받은 환자분들의 대부분은 허리 기능이 약화되어 있고 근기능 이상이 있게 때문에 허리기능을 재활하는 치료가 필요합니다. 활동량과 운동량을 줄이고 충분히 쉬며 한·양방 협진 복합 재활치료 및 가벼운 재활운동도 진행합니다.

모커리한방병원 온라인 진료예약