“처음에는 허리가 아팠어요. 그 다음에 골반 쪽에 방사통이 오더니 나중에는 양발이 저린 거예요. 증상이 갈수록 더한 거예요. 허리디스크 4번, 5번이 약간 나왔대요. 그게 원인이라고 해서 시술을 받았어요. 그런데 아무런 효과가 없었고 증상이 점점 더 심해졌어요. 그래서 다른 병원에 가서 MRI를 또 찍었어요. 그랬더니 디스크에 대해서 치료할 게 하나도 없대요. 또 다른 병원에서 천장관절염증이 있다고 했어요. 그런데 이게 과연 맞는지 다른 병원에 가니까 염증이 없대요. 많이 답답했죠. 이게 어떤 증세인지, 어디로 가서 고쳐야 되는지 엄청 답답하고 울기도 많이 울었어요”
먼저 이분의 MRI 영상을 보면서 설명해 드린 후 환자분의 이야기를 직접 들어보시겠습니다.
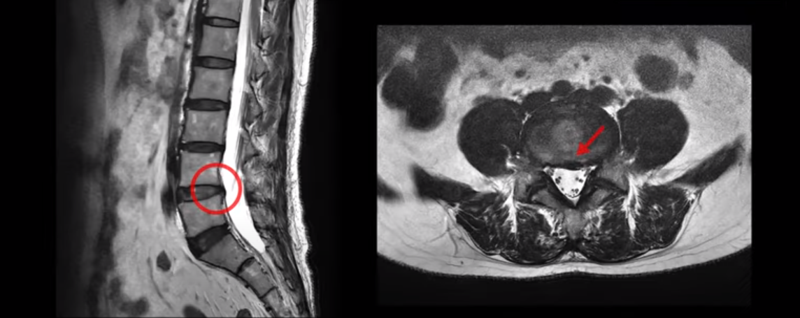
보시는 것처럼 이 환자분의 4, 5번 디스크는 심하지 않습니다.
또한 신경이 나가는 구멍도 넓은 상태로, 신경을 누르고 있는 것도 보이지 않았습니다.
그런데 이 환자분의 가장 괴로운 증상은 양쪽 발이 24시간 내내 저린 증상이었습니다. 앉아 있어도 저리고, 걸어도 저리고, 누워 있어도 계속 저렸습니다. 특히 앉아 있으면 엉덩이 쪽 통증이 심해져 오래 앉아 있는 것 자체가 힘든 상태였습니다
이런 증상 때문에 정형외과, 신경외과 여러 병원을 다니며 디스크가 원인일 수 있다는 진료를 받고 시술과 주사 치료를 여러 차례 받으셨지만 전혀 효과가 없었습니다. 한 마취통증의학과에서는 “디스크가 확실히 아니기 때문에 더 이상 치료해 줄 것이 없다”는 말을 들으셨고, 또 다른 정형외과에서는 천장관절 염증이 있다고 하여 주사치료를 받았으나 역시 효과가 없었습니다. 이후 다른 병원에서는 천장관절에 염증이 없다는 상반된 소견을 듣기도 했습니다.
이 환자분처럼 디스크 증상이 아님에도 불구하고 MRI에 디스크가 조금이라도 보인다는 이유만으로 허리 치료만 반복하며 고생하시는 분들이 매우 많습니다. 하지만 이 환자분의 증상은 양쪽 발 저림 증상입니다. 보통 한쪽 다리 통증을 유발하는 디스크로는 설명하기 어려운 양상입니다. 또 이 환자분은 등부터 허리, 엉덩이, 허벅지까지 전반적인 근육이 매우 심하게 뭉쳐 있는 상태였습니다.
이런 경우에는 일상생활에서 발생하는 부담과 충격을 등, 허리, 골반에서 제대로 흡수하지 못하게 되고, 그 부담이 그대로 다리와 발 쪽으로 쏟아지면서 다리와 발의 저림 증상이 나타나게 됩니다. 증상이 비교적 덜 심한 분들은 누우면 증상이 좀 줄어들기도 하지만, 이 환자분은 증상이 매우 심해 누워 있어도 발 저림이 계속되는 상황이었습니다.
그런데 이런 분들을 진단할 때 현대의학의 척추 치료는 허리의 구조적인 변화에 초점이 맞춰져 있어, 근육 문제는 상대적으로 간과되는 경우가 많습니다. 그래서 처음 진찰할 때 근육을 한번이라도 만져보는 병원이 아예 없습니다. 그래서 이런 근육의 문제를 가진 환자분들 중 이 병원 저 병원 다니면서 다리 혈관 검사, 류마티스 검사 등 온갖 검사를 다 받고 그래도 원인을 찾지 못해 계속 고통 속에 살고 있는 분들이 매우 많습니다.
이분은 다행히도 디스크가 심하지 않아서 디스크가 아니라는 생각을 할 수라도 있었지만 만약 디스크가 꽤 밀려 나온 상황이었다면 디스크 치료만 받느라 훨씬 더 시간을 낭비할 수 있었습니다. 우선 이 환자분 이야기를 들어보시겠습니다.
작년 11월부터 건강을 좋아지게 하려고 인터넷에서 나오는 복근운동을 3개월 정도 따라 하다가 처음에는 허리가 아팠어요. 그 다음에 골반 쪽에 방사통이 오더니 나중에는 양발이 저렸어요. 양발 저림 증상이 가장 심했어요.
앉았다 일어나면 꼬리뼈에 통증이 오고 또 24시간 발이 저렸어요. 발저림이 가장 심했어요 앉아 있을 때는 허리가 아파서 오래 앉아 있지를 못했어요. 한 30분 앉아 있으면 통증이 와요. 꼬리뼈 쪽에 콕콕 찌르는 듯한 통증이 느껴지고 갈수록 통증이 심해져서 엄청 힘들었어요. 발이 앉았을 때도 저리고 걸어도 저리고 계속 저렸어요.
잠도 그렇게 쉽게 못 들고 한 세 네 시간 밖에 못 자고 눈만 뜨면 계속 저렸어요. 발이 저려서 견디지 못할 정도로 정말 힘들었어요.
서울에 유명한 척추병원을 검색을 해서 갔어요. 나이가 있다 보니 허리디스크 4번 5번이 약간 나왔대요. 그게 원인이라고 해서 시술을 받았어요. 시술을 받고 나서 신경주사치료를 7~8번 일곱 번 맞았어요. 그런데 아무런 효과가 없었고 허리는 점점 더 아팠어요. 도저히 안되겠다며 주위에서도 디스크가 그렇게 오래 가지 않다면서 다른 병원을 알아보라고 해서 검색을 해서 여러 병원을 다녔어요. 앉아 있을 때 골반에 통증이 오는 게 어떤 병인지 찾아보니까 천장관절증후군이라는 걸 알게 됐어요. 병원에 가니까 염증이 있다고 해서 주사를 두 번 정도 맞았어요. 그런데 과연 이게 맞는지 조금 의심이 되는 거예요. 다른 병원에 가서 MRI를 또 찍어봤는데 이 병원에서는 염증이 없대요. ‘그럼 이게 뭐지?’ 하고 디스크가 엄청 심할 때 레이저 감압술을 받는 다는 걸 알게 됐어요. 그 시술을 받을 생각으로 또 다른 병원에 가서 MRI를 또 찍었어요. 그랬더니 디스크에 대해서는 치료할 게 하나도 없대요. 병원에서 치료할게 없다고 해서 치료 좀 해달라고 울면서 얘기했어요. 많이 답답했죠 매일 엄청 울고. 이게 어떤 증세인지, 어디로 가서 고쳐야 되는지, 엄청 답답하고 울기도 많이 울었어요.
병원에서 진찰할 때 근육을 만져본 병원은 단 한 군데도 없었습니다. 병원을 4~5군데 다녀봤는데MRI 영상만 보고 디스가 조금 튀어나왔으니까 디스크 증상도 있다고 하고 천장관절 염증이 있다 얘기하지 근육에 대해서는 한 번도 얘기하신 분이 없었어요. 그래서 엄청 답답했습니다.
처음에는 디스크 증상인 줄 알았어요. 허리가 아프고 방사통이 있고 발저림이 있는 게 증상이 똑같은 거예요. 한 7, 8개월 정도 허리디스크로 알고 있다가 아니라는 걸 나중에 알았죠. 디스크나 이런 걸 치료할게 없다고 하니까 그럼 이게 무슨 증상인지, 유튜브도 찾아보고 인터넷에 검색을하다가 이게 디스크나 협착이 아니면 근육이나 인대 쪽에 문제가 있다라는 내용을 여기 모커리 홈페이지에서 봤어요. 그걸 딱 보는 순간에 ‘아 내 근육에 문제가 있구나’ 근육이 뭉쳤다는 걸 생각 못했어요. 그래서 모커리에 상담해서 ‘내 병이 모커리에 오면 나을 수 있겠다’는 100% 확신을 갖고 오게 됐어요.
이 환자분 말씀 잘 들으셨나요? 통증의 원인을 알 수 없었기 때문에 너무 답답하셨고 기댈 데가 없으니 울고 있을 수밖에 없는 상황에서 인터넷을 통해 저희 병원을 알고 내원하셨습니다. 내원 전 전화상담을 통해 증상을 들어보면서 근육의 문제라는 걸 확신할 수 있었고 저희가 많이 보고 있는 환자군과 비슷한 증상이니 치료가 잘 될 것으로 기대한다는 매우 희망적인 말씀을 환자분께 드렸습니다. 그래서 내원하셨을 때 진찰하는 근육을 만져 봤더니 등부터 다리까지 전체 근육이 다 심하게 뭉쳐 있는 상태였습니다.
이 환자분처럼 디스크가 MRI에서 보기에 별로 심하지 않으면 근육을 의심하는 병원들이 저희 말고도 많이 있습니다. 그래서 그런 병원들에서 근막통증증후근, 이상근증후근 신부둔부증후근, 천장관절증후근 등 여러 가지 질환명으로 진단받고 이런저런 치료를 받는데요. 그런데 이런 환자분은 특정 근육 하나만의 문제가 아니고 등, 허리 엉덩이, 다리 근육이 전체적으로 다 문제가 생긴 것이라 이 전체 근육들을 동시에 재활치료 해줘야 합니다. 이에 대한 자세한 내용은 아래 영상을 참고하시길 바랍니다.
이 환자분은 24시간 다리가 저릴 정도로 워낙 증상이 심하기 때문에 외래 치료로 어렵고 입원 치료로만 가능한 경우입니다. 그래서 이분은 약 한 달간 입원해서 등, 허리, 엉덩이, 허벅지 근육을 전체 다 재활치료해 드렸는데요. 과연 이분의 치료 결과는 어떻게 되었을까요? 예상대로 근육의 문제를 해결하니 통증이 좋아졌을까요? 이분의 치료 후 결과가 궁금하시다면 아래 영상을 꼭 보시길 바랍니다.
모커리 디스크내장증을 진단 받은 환자분들의 대부분은 허리 기능이 약화되어 있고 근기능 이상이 있게 때문에 허리기능을 재활하는 치료가 필요합니다. 활동량과 운동량을 줄이고 충분히 쉬며 한·양방 협진 복합 재활치료 및 가벼운 재활운동도 진행합니다.
